 
                
泛发性扁平黄色瘤(diffuse plane xanthoma)又名泛发性黄斑瘤。它是相对较大,发生于除眼睑外,其他部位的黄斑瘤样损害。发病率低,常见于老年。
本病病因不明确,可能和遗传因素、环境因素、饮食因素、以及内分泌因素相关,本病发病率极低,对于有家族史的家庭成员中出现皮肤黄斑、瘤体样改变,年龄大于60岁需要考虑本病的可能性。
其发病过程与眼睑黄斑瘤相似,主要是脂蛋白掺入巨噬细胞,然后形成泡沫细胞和巨大泡沫细胞。
泛发性扁平黄色瘤部分患者还可有黏膜损害,甚至发生尿崩症,本病通常是由于继发因素造成的血管加压素的分泌减少,故造成尿量的分泌增多,且为低比重尿,可口服精氨酸加压素治疗,对于病程较长且也可自行缓解。同时也可发生血脂升高,伴有冠心病等。[2]
眼睑黄斑瘤,皮黄到橙色皮损,常对称发生。为非炎症性,好发部位为面部、颈背部、上肢和躯干。血清脂和脂蛋白水平正常(正常脂质扁平黄瘤病),泛发性扁平黄瘤也可以是高脂蛋白血症的一个症状(原发性或继发性高脂蛋白血症Ⅱa型),但病变部位不一样,本病多见于手掌及屈曲部位。
根据扁平黄色瘤泛发于面,颈背部上肢和躯干。皮损皮黄到橙色。血清脂和脂蛋白水平正常或不正常,就可考虑本病。
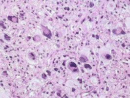
 泛发性扁平黄色瘤组织病理1、组织病理:黄瘤病是反应肿瘤,不同型别黄瘤显微结构相近,无需鉴别诊断。
泛发性扁平黄色瘤组织病理1、组织病理:黄瘤病是反应肿瘤,不同型别黄瘤显微结构相近,无需鉴别诊断。
2、口服葡萄糖耐量试验:了解空腹及餐后血糖水平,以除外糖尿病及糖耐量减低(餐后高血糖)型血糖异常所引起的高脂血症及高脂蛋白血症。
3、肝功、肾功、甲状腺功能测定 了解白蛋白、总蛋白及免疫球蛋白水平等以除外胆汁性肝硬化、肾病综合征及黏液性水肿等疾病引起的继发性黄色瘤病。
4、血脂测定、纸上电泳测定:可测定胆固醇、三酰甘油、HDL、LDL、VLDL等。高脂蛋白血症Ⅱ型又称家族性高胆固醇血症,为多基因性高胆固醇血症,在睑黄瘤,腱黄瘤及结节性黄瘤中经常发生,属常染色体显性遗传。高脂蛋白血症Ⅳ型又称家族性高三酰甘油血症或家族性联合高脂蛋白血症,在扁平黄瘤和结节性黄瘤中经常发生。
首先治疗基础疾病,如高脂蛋白血症。其他如同黄斑瘤治疗原则。
正常脂质黄斑瘤的部分病例,有必要考虑同时并发恶性淋巴瘤、多发性骨髓瘤或白血病的可能,应嘱咐病人进行适当的检查。
1、泛发性扁平黄色瘤食疗方(下面资料仅供参考,详细需要咨询医生)
可用中药山楂15g、决明子15g泡茶饮用,坚持半年以上。
2、饮食要清淡、低盐饮食(每日5g以下)、多吃新鲜水果和蔬菜,适量运动。
3、不要吃油腻食物,不要吃动物脂肪、肝脏等。
 
         
         
 求购
    求购