纵隔阴影

纵隔阴影

症状名称 纵隔阴影
科室 呼吸内科
目录导航

概述

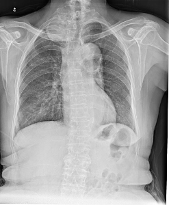
纵隔炎可分为急性化脓性感染和慢性纤维性病变二种。前者有急性感染症状,后者可引起上腔静脉压迫综合征或纵隔内其他器官受压的各种症状。 X线表现为两侧纵隔阴影增宽,以上纵隔为明显,由于炎症累及周围胸膜致使两侧轮廓较模糊。侧位胸片胸骨后密度增加。气管、主动脉弓的轮廓模糊。形成脓肿,可于纵隔的一侧或双侧见突出的弧形阴影,气管、食管受压移位。亦可出现纵隔气肿、脓肿和液平、胸腔积液、液气胸等征象。食管碘油或有机碘液造影可证实食管穿孔部位、食管支气管瘘或食管胸膜瘘。电脑断层扫描可早期发现严重的深颈部感染所致的纵隔炎。

病因

纵隔阴影纵隔阴影慢性纵隔炎病因较复杂,已经知道结核、组织胸浆菌病、放线菌、结节病、矽肺、外伤后纵隔出血以及药物中毒等,均可引起纵隔纤维化。亦可能与自身免疫有关。部分患者的病因不明。

诊断

实验室检查:血沉正常

其它辅助检查:

X线检查可无异常发现,但大部分患者有纵隔胸膜增厚或上纵隔增宽,病变区可见钙化阴影。胃、十二指肠钡餐检查示食管狭窄。体层摄片示气管、支气管狭窄。血管造影有助于了解上腔静脉及其分支的梗阻情况。CT检查亦有诊断价值。[1]

鉴别

本病应注意与其疾病引起的上腔静脉梗阻相鉴别。本病引起的上腔静脉综合征,患者多不发热,血沉正常本症与中心型或纵隔型肺癌,以及恶性纵隔肿瘤的鉴别,在肿瘤明显时困难不大在早期则可混淆,有时误诊为过敏反应血管神经性水肿、右心衰竭、甚至慢性缩窄性心包炎等。[2]

预防

预后:慢性纵隔炎引起肺动脉高压、肺静脉阻塞以及血栓形成该类患者预后较差。

预防:主要根据不同病因而采取不同措施。

相关百科
返回顶部
产品求购 求购