传染性软疣

传染性软疣

目录导航

病因介绍

传染性软疣传染性软疣本病系由传染性软疣病毒(CMV)所致,属痘类病毒,呈砖形,其直径为350 nm,在光镜下有时亦可见到,据电镜研究,病毒本身的形成与胞质有密切关系,胞质基质先浓缩,并出现嗜酸性颗粒,这些颗粒逐渐团聚,形成与周围有明显界限的“大颗粒”——颗粒组合型病毒(初期型病毒);继而发展成细颗粒膜型病毒(中期型病毒);最后变成砖形,椭圆或圆形,往往在其中心有哑铃状结构之成熟型病毒,整个胞质基质最后变成病毒包涵体(又称软疣小体),此小体最初为一个卵圆形嗜伊红结构,对Brachet反应呈阳性,示RNA较多,不久Feulgen染色示DNA开始出现阳性反应,随着体积迅速扩大,Feulgen反应也逐渐加强,而Brachet反应则逐渐减弱,这表明在早期RNA的量较多,而在晚期则DNA较多,中医认为系气血失和,腠理不密,复感外邪,凝集肌肤所致,传染性软疣是良性病毒性皮肤疾病,皮疹直径为2~4mm的有蜡样光泽的珠状丘疹,顶端凹陷,能挤出乳酪状软疣小体。

预防措施

传染性软疣传染性软疣注意卫生,勤剪指甲,避免搔抓皮肤,不与患者共用衣物,对于预防该病有一定的作用。

并发症状

湿疹

传染性软疣传染性软疣常因自觉微痒,搔抓后并发感染或周围继发湿疹样损害。

常见症状

潜伏期1周至6个月,典型损害为受感染局部表皮细胞增生形成的丘疹,直径2~8mm,单发或多发,圆形或半球形,有蜡样光泽,中心脐凹状,并含有干酪样栓塞物,丘疹呈肉色或粉红色,初期质地坚硬,成熟变软,可挤压出干酪样物,临床可分两个类型:

传染性软疣传染性软疣①儿童型:通过皮肤直接接触或经传染媒介受感染,软疣见于面部,躯干及四肢。

②成人型:可为性传播,软疣多见于外生殖器、臀部、下腹部、耻骨部及大腿内侧区、肛交者发生于肛门,Lynch报道55例这样的病例,是从越南和朝鲜回美国的军人,他们在该国曾有嫖娼史。

皮损可发生于除掌跖外的任何接触部位,也可出现于唇、舌及颊粘膜、结膜等,结膜损害可伴有反应性结膜炎或角膜炎,少数损害异常巨大,称为巨型软疣。有的可角化而像小的皮角,称为角化性软疣。一般无自觉症状。

感染HIV的病例,传染性软疣的发病率增加,而且软疣广泛播散和出现大的损害,有报道AIDS病人面部有巨大的软疣,易与基底细胞上皮瘤混淆。此外,曾报道两例广泛的,急性的,数百个软疣的病人,有接受免疫抑制剂。强的松龙和氨甲喋呤台疗史,认为发病与其免疫抑制有关。

本病属自限性,一般持续数月至数年。

疾病检查

传染性软疣病毒的感染性病毒颗粒与抗原检测法:

1、直接检查病毒颗粒:

方法1:涂片染色:挤出乳酪样物,瑞特染色。结果:软疣小体(+)。

方法2:电镜观察:活检标本。结果:软疣病毒(+)。

传染性软疣传染性软疣方法3:检查组织病理。结果:具有诊断特征性。

2、直接检测病毒抗原:

方法1:琼脂凝胶沉淀试验(AGP)。结果:(+)。

方法2:补体结合试验(CF)。结果:(+)。

方法3:间接免疫荧光试验(IIF)。结果:(+)。

方法4:中和试验(Nt)。结果:(+)。

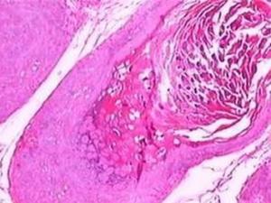
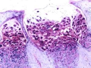
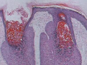
组织病理:病变主要在表皮,表皮高度增生而伸入真皮,其周围真皮结缔组织受压而形成假包膜,并被分为多个梨状小叶,真皮乳头受压,而成为小叶间的异常狭窄的间隔,基底细胞大致正常,自棘层细胞起逐渐变性,在早期,感染细胞开始有卵圆形小体形成,以后细胞体积逐渐增大,胞核固缩,最后整个胞质均为嗜酸性包涵体(软疣小体)所占据,在表皮中部,软疣小体已超过受累细胞原有的体积,细胞核被挤于一侧,固缩成新月形,甚至完全消失,在粒层水平处,软疣小体自嗜酸性变成嗜碱性,角质层内可有很多嗜碱性软疣小体,因并非所有棘细胞都有上述变性,故在细胞中间仍可见少数角化不良的细胞,在病变中央,变性细胞可脱落而形成中央腔隙并与各梨状小叶相通,真皮无变化。

诊断鉴别

诊断

根据本病的临床上有蜡样光泽的圆形或半球形丘疹,中央脐凹状,可挤出干酪样物与组织病理具有特征样,易于诊断,生殖器部位损害有性活跃年青者,应检查有地性病,较大皮损应与基底细胞癌,角化棘皮瘤鉴别。

传染性软疣传染性软疣潜伏期2~3周,初起为帽针头至绿豆大小的半球状丘疹,表面呈蜡样光泽,中央脐窝状,为正常肤色,渐增大至豌豆大,挤之可排出白色乳酪状软疣小体, 儿童多见于颜面,躯干四肢(图1),成人全身各处均可发生,由性传播者见于外阴,臀部,小腹及大腿内侧,也可出现于唇舌、颊黏膜、眼结膜等处,数目多少不 等,散在分布,相互不融合,自觉瘙痒, 慢性病程,有自限性,持续数月可自退,多见于儿童及青年人,潜伏期为14天~6个月,初起为米粒大半球形丘疹,以后逐渐增至豌豆大,中心微凹或呈脐窝,表 面有蜡样光泽,早期质地坚韧,后逐渐变软,呈灰白色或珍珠色,可挤出白色乳酪样物质,称为软疣小体,损害数目不等,由数个至数十个,陆续出现,或少数散 在,或数个簇集,互不融合,体表各部位皆可发生,好发于躯干,四肢,肩胛,阴囊和肛门等处,也可发生于唇,舌,颊黏膜及结膜,皮疹部位因接触方式不同而 异,一般无自觉症状,极少数病人其损害异常巨大称为巨型软疣,有的可角化而像小的皮角,称为角化性软疣,皮损偶然可自然消失,愈后不留瘢痕。

 本病临床及组织学均非常特殊,一般诊断不难。

中医病机:俗称水瘊子,中医的“鼠乳”与本病相类似,《诸病源候论》鼠乳候记述“鼠乳者,身而忽生肉,如鼠乳之状,谓之鼠乳也”,中医认为此系气血失和,腠理不密,复感外邪,凝聚肌肤而致。

鉴别诊断

根据本病的临床上有蜡样光泽的圆形或半球形丘疹,中央脐凹状,可挤出干酪样物与组织病理具有特征样,易于诊断,生殖器部位损害有性活跃年青者,应检查有地性病,较大皮损应与基底细胞癌,角化棘皮瘤鉴别。

1.汗管瘤:好发于女性眼睑周围,为针头至米粒大小的小结节,密集,正常肤色或淡褐色,质坚硬,中心无软疣小体,不传染。

2.丘疹性荨麻疹:儿童常见的过敏性皮肤病,初为纺锤状水肿性红色斑丘疹,渐为坚硬小疱,顶端突起,无凹陷,无小体排出,剧痒。

疾病治疗

传染性软疣传染性软疣传染性软疣(infectious condyloma)俗称“水瘊子”,是一种病毒性传染性皮肤病。本病的传染途径可有直接接触和间接接触,直接接触也包括了性接触的内容,对于成人发生于阴股部的传染性软疣多是由于性接触引起的。故世界卫生组织将其列入性传播性疾病之中。传染性软疣可以发生于身体任何部位,儿童及非性接触感染的成人以颈、背、面部、四肢、臀部多见,经性接触传染者好发于生殖器部位、耻骨、大腿内侧,同性恋者好发于肛周。好发于外生殖器、耻骨区、肛周、腹股沟及胸背部。

传染性软疣西医治疗

有报告对于免疫力正常的个体,传染性软疣是一种自FE性疾病,典型的单个损害多在2个月内消退,如果不治疗整个病程通常可持续6―9个月,也有持续数年者。治疗传染性软疣既方便又有效的方法主要是外科治疗或外用药物疗法。

(1) 钳除法:这是一种古老的而且至今仍最常使用的疗法。方法是用小血管钳夹住疣体后拔除,然后涂2%碘酊或碳酸或三氯醋酸并压迫止血。

(2) 冷冻或激光疗法:用冷冻疗法或激光疗法去除疣体。

(3) 化学药物疗法

①10%氢氧化钾水溶液涂于皮损上,每日2次,至出现炎症征象或浅表溃疡时停用。

②苯酚,任万明用80%苯酚液治疗200例传染性软疣患者,方法是先取80g结晶苯酚放人干净的三角瓶内,加入lOOml蒸馏水,然后加热使其充分 溶解后即可分装使用,治疗是采用棉签蘸上药液后对准皮损逐个点药,注意不要将药液点涂到正常皮肤上以免损伤皮肤,约半分钟后皮损上便出现一层白色薄膜、周 围略红肿。停药1-2天后,皮损处呈现黑褐色坏死结痂,10天左右脱痂愈合。如仍有个别损害未愈或新出皮损,可重复点药,直到完全治愈为止。若皮损广泛数 目太多时,应分次治疗,以免药物吸收引起不良反应。结果200例患者全部治愈,其中1次治愈者124例,占62%,2次治愈者49例,占24.5%,3次 以上治愈者27例,占13.5%。除21例在涂药后自觉有轻度烧灼样痛外,无1例发生其他不良反应。此外,可口服抗病毒药物或肌内注射干扰素或聚肌胞注射 液等。治疗过程中要注意患者衣物等用品隔离消毒直到感染消除。

(一)治疗

本病以外用治疗为主。皮疹多者可选用抗病毒药。

1.外用治疗主要去除软疣小体,可在无菌下用睫毛镊子将软疣小体挤出,用3%~5%碘酊滴入,或外用0.5%酞丁安搽剂。数目多者可分次分批剔除。

2.将损害中的软疣小体用小镊子夹住,将之挤出或挑除,然后点入浓苯酚或33%三氯醋酸液,并压迫止血。如果疣体较小,且泛发者,可外涂10%碘酊或聚维酮碘,每天2~3次。

避免搔抓,以免扩散传染,注意个人卫生,不共用浴巾,内衣开水消毒。

预后

传染性软疣是良性病毒性皮肤疾病。皮损偶然可自然消失,愈后不留瘢痕。

传染性软疣中医治疗

中医诊疗(中药治疗传染性软疣以平肝解毒为主,可用去疣汤加减,同时用板蓝根、大青叶、野菊花、白藓皮等适量煎水外洗﹞。

(以上提供资料及其内容仅供参考,详细需要咨询医生。)

护理介绍

传染性软疣传染性软疣摄入一些高纤维素以及新鲜的蔬菜和水果,营养均衡,包括蛋白质、糖、脂肪、维生素、微量元素和膳食纤维等必需的营养素,荤素搭配。

饮食保健

传染性软疣食疗(以下资料仅供参考,详细情况询问医生)

薏苡仁粥:取新产薏苡仁50g,择去杂质,淘洗干净,加水适量,用武火煮沸后,改文火煮熟成粥,调入白糖少许,空腹顿服。每日1次,10次为1疗程,共2疗程,治扁平疣。   

传染性软疣传染性软疣苡仁绿豆粥:取薏苡仁、绿豆各30g,择净,洗去泥土,放入砂锅内,加清水适量,用武火煎沸后,改文火熬至熟烂成粥,加入少许白糖调味,于早晨空腹顿服。每日1剂,15天为1疗程,治扁平疣。 

凉拌蒲公英:取鲜蒲公英300g,洗净,用开水烫后,放入香油、味精、细盐,凉拌食用。每天1次,治扁平疣。  

香附鸡蛋:取制香附200g,研为细末,分装成15份备用。鸡蛋1枚,打碎,与1份香附搅匀;取花生油15mL,放锅内烧热后,放入拌匀的香附鸡蛋,煎熟后,放入10ML米醋,趁热吃下。每天1次,连服15天为1疗程,治扁平疣。  

红花茶:取红花9-10g,以沸水冲泡代茶饮,冲泡至色淡后弃之。每日1剂,连用10天为1疗程,共4疗程,治扁平疣。[1]

相关百科
返回顶部
产品求购 求购