淋巴细胞性垂体炎

淋巴细胞性垂体炎

目录导航

疾病概述

是腺垂体有弥漫性淋巴细胞浸润,因此命名为淋巴细胞性腺垂体炎(lymphocytic adenohypophysits)。后来的研究显示,上述炎症性病变亦可累及神经垂体和垂体柄,称为淋巴细胞性漏斗神经垂体炎(lymphocytic infundibuloneuro hypophysitis),临床上主要表现为中枢性尿崩症。这种疾病较少见,多见于妊娠时或产后妇女。患者往往有乏力、嗜睡、肥胖、毛发脱落、阳痿、闭经等症状。其中以甲状腺功能低下,肾上腺皮质功能低下多见。[1]

症状体征

妊娠1年内妇女多见,也有发生在绝经期后,早期临床表现较为隐匿,随着疾病的发展,临床表现很类似垂体无功能瘤。

1.腺垂体功能低下: 这是淋巴细胞性垂体炎最常见和最主要的临床表现,患者往往有乏力,嗜睡,肥胖,毛发脱落,阳痿,闭经等症状,其中以甲状腺功能低下,肾上腺皮质功能低下多见。

2.溢乳: 不多见,可能由于:

①垂体中淋巴细胞增生,浸润,压迫垂体柄,使下丘脑产生的催乳素抑制因子(PIF)不能到达垂体,促使PRL分泌增多。

淋巴细胞性垂体炎淋巴细胞性垂体炎②自身抗体刺激PRL细胞,促使分泌PRI。

3.类似“垂体瘤”的症状如头痛,视力,视野改变,病变侵犯至颈静脉窦,可引起动眼神经麻痹。

本病缺少特异性的表现,确诊依赖于病理学检查,而垂体标本甚难获取,故明确诊断极为困难,这也是迄今文献报道甚少的原因(估计漏诊病例不在少数),避免漏诊的关键是提高警惕性,对影像学提示垂体增大的腺垂体功能减退病人应想到本病,如血沉增快或合并有其他自身免疫性疾病,则更支持本病。

疾病病因

(一)发病原因

本病的病因尚未完全阐明,由于病理上垂体有明显的淋巴细胞浸润,部分病人血中可检出抗垂体抗体,故目前认为本病可能因自身免疫所致,但是,抗垂体抗体的检出率并不高,晚近,桥本等分析1962~1995年间文献中报道的124例淋巴细胞性腺垂体炎(其中100例经病理证实),发现只有7例抗垂体抗体阳性,抗垂体抗体阳性率较低与所用检测方法(免疫荧光法)不够敏感有关,此外,不少病人同时存在其他内分泌腺的自身免疫性炎症,这也支持本病系自身免疫所致的观点。

关于自身免疫的原因,目前尚不很清楚,由于绝大多数病人为妊娠或产后的妇女,因此有学者认为自身免疫可能与妊娠有关,妊娠时(特别是晚期妊娠)垂体肿大,血供增加,易于发生一些微小的损伤,从而使垂体抗原暴露;此外,妊娠还会引起机体免疫状态的变化,使机体易于产生自身免疫反应,其他一些自身免疫性内分泌疾病(如沉寂性甲状腺炎)也好发于妊娠期,支持妊娠与自身免疫有关的观点,曾有人报道本病可发生于颅内病毒感染后,故本病的自身免疫反应可能与病毒感染也有一定关系。

目前对引起垂体自身免疫反应的自身抗原的本质尚不清楚,Crock等在淋巴细胞性垂体炎中检测到一种抗49KDa垂体蛋白的抗体,这种49KDa抗原究竟是什么目前也不清楚,此外,淋巴细胞性腺垂体炎的自身抗体和淋巴细胞性漏斗神经垂体炎的自身抗体也不同,前者主要针对腺垂体细胞,后者则针对分泌血管升压素的细胞。

(二)发病机制

在本病的发病机制尚不清楚,据文献分析,多数作者认为是一种自身免疫疾病,由于妇女在妊娠期垂体会增生肥大,产后垂体慢慢缩小,释放了大量垂体抗原,促使产生自身免疫反应,淋巴细胞浸润垂体;引起垂体组织破坏,另外,Vanneste曾报道1例49岁妇女,在患病毒性脑膜炎后,发生垂体功能低下,1年后手术证实为淋巴细直接感染垂体引起的,本病有许多病历与其他免疫病同时发生,很有可能与遗传因素有关。

检查

本病的实验室检查显示出自身免疫病的特点,如血沉加快,抗垂体抗体阳性,合并慢性淋巴细胞甲状腺炎者,抗甲状腺球蛋白抗体和微粒体及过氧化物酶抗体可阳性,有时可检出抗肾上腺抗体,抗血小板抗体,抗平滑肌抗体,抗线粒体抗体和抗核抗体等,血CD4淋巴细胞CD8淋巴细胞比值升高。

内分泌功能检查显示出腺垂体功能减退及相应的靶腺功能减退的特点,但血催乳素,促甲状腺素及生长激素水平也可升高。

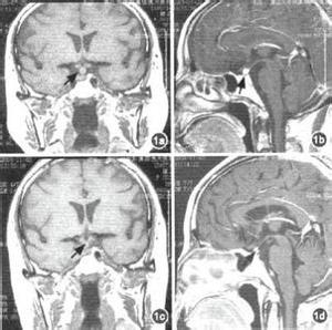
头颅平片一般正常,不过,垂体明显增大的病人头颅平片也可有蝶鞍增大的表现,CT和MRI对诊断有重要的意义,本病垂体CT和MRI的表现有:垂体增大或垂体占位(可伴鞍上扩展),垂体柄增粗,空鞍,垂体有囊性病变,垂体增大或垂体占位是最常见的影像学改变,约见于90%的病人,鞍上扩展亦相当常见(见于60%~70%的病人),本病垂体多呈弥漫性增大,这一点与垂体腺瘤不同,对鉴别诊断有一定的意义,垂体柄增粗则较少见,多发生于神经垂体和漏斗受累的病人,空鞍和垂体囊性病变则更为少见,久病者可有垂体萎缩但蝶鞍仍扩大,少数病人垂体CT和MRI检查可无异常发现。

鉴别诊断

本病需与垂体腺瘤,细菌性垂体炎,垂体增生,Sheehan综合征等相鉴别。

1.垂体腺瘤: 分泌性垂体腺瘤多有某种腺垂体激素过多的表现,借此可与本病鉴别,分泌性垂体腺瘤中的PRL瘤易与本病混淆,但PRL瘤病人血PRL升高较本病更为明显,无功能垂体腺瘤无垂体激素过多的症状(PRL可轻至中度升高),表现为腺垂体功能减退,与本病很相似,但无功能垂体腺瘤的占位症状(头痛,视力减退,视野缺损等)较本病常见且显著,此外,无功能垂体腺瘤引起的腺垂体功能减退以促性腺激素减少最先出现且最为常见,ACTH和TSH减少出现较晚且较少见;淋巴细胞性垂体炎引起的垂体功能减退则以ACTH和TSH减少较先出现,且最为常见,促性腺激素减少出现较晚,且相对少见一些,影像学检查对垂体腺瘤和本病的鉴别有很大价值:在CT和MRI上,垂体腺瘤病人垂体为局灶性增大,本病则为弥漫性,均质性增大;垂体腺瘤可有蝶鞍骨质的破坏,本病一般没有。

淋巴细胞性垂体炎淋巴细胞性垂体炎2.细菌性垂体炎: 细菌性垂体炎极为罕见,为垂体的急性化脓性感染,多因细菌性脑膜炎扩散所致(极少因败血症播散而引起),细菌性垂体炎急性起病,病前多有化脓性脑膜炎的病史,发热等全身症状明显,血象升高,借此可与淋巴细胞性腺垂体炎鉴别。

3.垂体增生: 垂体增生与淋巴细胞性腺垂体炎在影像学上几乎无法鉴别, 二者的临床表现不同,生理性垂体增生(如妊娠期的垂体增生)没有任何临床症状,实验室检查亦无腺垂体功能减退的证据,惟血PRL水平可轻度升高;病理性垂体增生多有某种腺垂体激素增多的表现,如能获取垂体组织作病理学检查,则可做决定性的鉴别。

4.Sheehan综合征: 本病好发于产后,且常有腺垂体功能减退的表现,应与Sheehan综合征鉴别,但Sheehan综合征病人多有产时或产后大出血史,垂体影像学检查可见垂体萎缩,无头痛,视野缺损,视力受损等表现。

5.坏死性漏斗垂体炎(necrotic infundibulohypophysitis): 坏死性漏斗垂体炎为罕见疾病,以中枢性尿崩症为主要表现,坏死性漏斗垂体炎如累及腺垂体其表现酷似淋巴细胞性垂体炎,一般需借助组织学检查方能与淋巴细胞性垂体炎鉴别,垂体影像学检查对鉴别诊断亦有意义:坏死性漏斗垂体炎多有垂体柄增粗,而淋巴细胞性垂体炎垂体柄增粗较少见。

治疗方案

(一)治疗   

治疗目的是调整机体免疫功能,抑制疾病的发展,治疗腺垂体功能低下。   

1.免疫抑制剂: 虽然没有完整报道免疫抑制剂的治疗效果,但理论上能控制疾病的发展。可用大剂量肾上腺皮质激素。   

2.补充靶激素: 主要补充甲状腺素、肾上腺皮质激素及性腺激素,尿崩症者应用DDAVP。   

3.手术: 当淋巴组织浸润严重,纤维增生压迫视交视交叉影响视力、视野时,可行手术解除压迫症状。   

(二)预后   

近年国外有人报道,用糖皮质激素治疗本病可使增大的垂体缩小并能改善垂体功能。

相关百科
返回顶部
产品求购 求购