甲状旁腺

甲状旁腺

中文名 甲状旁腺
颜色 棕黄色
数量 4
长度 3-8毫米
目录导航

器官介绍

甲状旁腺甲状旁腺甲状旁腺一般有上下两对,位于甲状腺左右叶的背面。成人甲状旁腺呈棕黄色的扁椭圆形,总重约120mg。腺表面包有薄层结组织被膜,腺细胞排列成索团状,其间富含有孔毛细血管及少量结缔组织,还可见散在脂肪细胞,并随年龄增长而增多。

细胞分类

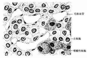
主细胞与嗜酸性细胞主细胞与嗜酸性细胞光镜下,腺细胞可以分为两种:主细胞和嗜酸性细胞。

主细胞(chief cell)

是构成腺实质的主体,呈圆形或多边形,核圆,位于细胞的中央,HE染色切片中胞质着色浅。电镜下,胞质内含粗面内质网、高尔基复合体和直径200~400nm的分泌颗粒,还有一些糖原和脂滴。细胞分泌颗粒内的甲状旁腺激素(parathyroid hormone)以胞吐方式释放入毛细血管内。

甲状旁腺激素是肽类激素,主要功能是影响体内质钙与磷的代谢,作用于骨细胞和破骨细胞,从骨动员钙,使骨盐溶解,血液中钙离子浓度增高,同时还作用于肠及肾小管,使钙的吸收增加,从而使血钙升高。机体内在甲状旁腺激素和降钙素的共同调节下,维持着血钙的稳定。若甲状旁腺分泌功能低下,血钙浓度降低,出现手足抽搐症;如果功能亢进,则引起骨质过度吸收,容易发生骨折。甲状旁腺功能失调会引起血中钙与磷的比例失常。

嗜酸性细胞

嗜酸性细胞(Oxyphil cell)比主细胞大,核小而固缩,染色较深,数量少,常单个或成群存在于主细胞之间。胞质内含密集的嗜酸性颗粒, 故有强的嗜酸性。电镜下,嗜酸性颗粒乃是线粒体,其它细胞器均不达,糖原和脂滴也少,且无分泌颗粒。人体内这种细胞约在4-7岁开始出现,而在某些动物体内从青春期前后开始出现,随着年龄增长而增多。其功能还不清楚。

甲状旁腺分泌的甲状旁腺激素(parathyroid hormone,PTH)与甲状腺C细胞分泌的降钙素(calcitonin,CT)以及1,25-二羟维生素D3共同调节钙磷代谢,控制血浆中钙和磷的水平。

主细胞与嗜酸性细胞主细胞与嗜酸性细胞有时甲状旁腺1个或全部埋在甲状腺组织内,使甲状腺切除手术发生困难。如将些腺全部切除,患者出现钙代谢失常,发生手足搐搦,严重者造成死亡。

位置作用

甲状旁腺甲状旁腺其实甲状旁腺就位于甲状腺中。通常有四个,左右各一对,为扁椭圆形小体,棕黄色,形状大小略似大豆,均贴附于甲状腺侧叶的后缘,位于甲状腺被囊之外,有时也可埋藏于甲状腺组织中,上一对甲状旁腺一般位于甲状腺侧叶后缘中部附近处,下一对则在甲状腺下动脉的附近,约位于腺体后部下1/3处。

甲状旁腺是较小的内分泌器官,分泌的激素(甲状旁腺素)的功能为调节钙的代谢,维持血钙平衡,主要使骨钙释出入血,再由肾排出进行调节血钙平衡,故甲状旁腺的靶器官是骨与肾。分泌不足时可引起血钙下降,出现手足搐搦症;功能亢进时则引起骨质过度吸收,容易发生骨折。故有些人出现上述症状时应考虑是不是与甲状旁腺功能失调有关。

旁腺激素

甲状旁腺甲状旁腺PTH是甲状旁腺主细胞分泌的含有84个氨基酸的直链肽,分子量为9000,其生物活性决定于N端的第1-27个氨基酸残基。在甲状旁腺主细胞内先合成一个含有115个氨基酸的前甲状旁腺激素原(prepro-PTH),以后脱掉N端二十五肽,生成九十肽的甲状旁腺激素原(pro-PTH),再脱去6个氨基酸,变成PTH。

在甲状旁腺主细胞内,部分PTH分子可以第33位与第40位氨基酸残基之间裂解,形成两个片断,可与PTH一同进入血中。正常人血浆PTH 浓度为10-50ng/L,半衰期为20-30min。PTH主要在肝水解灭活,代谢产物经肾排出体外。 近年从鳞状上皮癌伴发高血钙的患者癌组织中,分离出一种在化学结构上类似PTH的肽,称为甲状旁腺激素相关(parathyroid hormone related peptide,PTHrp),并进一步发现正常组织如皮肤、乳腺以及胎儿甲状旁腺中也存在这种肽。PTHrp与PTH从来源上是同族的,尤其两者的N端1-13位氨基酸残其完全相同,PTHrp也具有PTH活性。

PTH的生物学作用

PTH是调节血钙水平的最重要激素,它有升高血钙和降低血磷含量的作用。将动物的甲状旁腺摘除后,血钙浓度逐渐降低,而血磷含量则逐渐升高,直至动物死亡。在人类,由于外科切除甲状腺时不慎,误将甲状旁腺摘除,可引起严重的低血钙。钙离子对维持神经和肌肉组织正常兴奋性起重要作用,血钙浓度降低时,神经和肌肉的兴奋性异常增高,可发生低血钙性手足搐搦,严重时可引起呼吸肌痉挛而造成窒息。 PTH对靶器官的作用是通过cAMP系统而实现的。

对骨的作用

骨是体内最大的钙贮存库,PTH动员骨钙入血,使血钙浓度升高,其作用包括快速效应与延缓效应两个时相。

1、快速效应:在PTH作用后数分钟即可发生,是将位于骨和骨细胞之间的骨液中的钙转运至血液中,骨细胞和成骨细胞在骨内形成一个膜系统,全部覆盖了骨表面和腔隙的表面,在骨质与细胞外液之间形成一层可通透性屏障。在骨膜与骨质之间含有少量骨液,骨液中含有Ca2+(只有细胞外液的1/3)。PTH能迅速提高骨细胞膜对Ca2+的通透性,使骨液中的钙进入细胞,进而使骨细胞膜上的钙泵活动增强,将Ca2+转运到细胞外液中。

2、延缓效应:在PTH作用后2-14h出现,通常在几天甚至几周后达高峰,这一效应是通过刺激破骨细胞活动增强而实现的。PTH既加强已有的破骨细胞的溶骨活动,又促进破骨细胞的生成。破骨细胞向周围骨组织伸出绒毛样突起,释放蛋白水解酶与乳酸,使骨组织溶解,钙与磷大量入血,使血钙浓度长时间升高。PTH的两个效应相互配合,不但能对血钙急切需要作出迅速应答,而且能使血钙长时间维持在一定水平。

对肾的作用

PTH促进远球小管对钙的重吸收,使尿钙减少,血钙升高,同时还抑制近球小管对磷的重吸收,增加尿磷酸盐的排出,使血磷降低。 此外,PTH对肾的另一重要作用是激活α-羟化酶,使25-羟维生素D3(25-OH-D3)转变为有活性的1,25-二羟维生素D3(1,25-(OH)2-D3)。

二羟维生素D3简介

体内的VD3(维生素D3)主要由皮肤中7-脱氢胆固醇经日光中紫外线照射转化而来,也可由动物性食物中获取。VD3无生物活性,它首先需在肝羟化成25-OH-D3,然后在肾又进一步转化成1,25-(OH)2-D3,其作用为:

①促进小肠粘膜上皮细胞对钙的吸收,这是由于1,25-(OH)2-D3进入小肠粘膜细胞内,与胞浆受体结合后进入细胞核,促进转录过程,生成一种与钙有很高亲和力的钙结合蛋白(calcium-binding protein),参与钙的转运而促进钙的吸收。PTH在增强钙的吸收的同时也促进磷的吸收;

②对骨钙动员和骨盐沉积有作用,一方面促进钙、磷的吸收,增加血钙、血磷含量,刺激成骨细胞的活动,从而促进骨盐沉积和骨的形成。另一方面,当血钙浓度降低时,又能提高破骨细胞的活性,动员骨钙入血,使血钙浓度升高。另外,1,25-(OH)2-D3能增强PTH对骨的作用,在缺乏1,25-(OH)2-D3时,PTH的作用明显减弱。

激素分泌的调节

PTH的分泌主要受血浆钙浓度变化的调节。血浆钙浓度轻微下降时,就可使甲状旁腺分泌PTH迅速增加,血钙浓度降低可直接刺激甲状旁腺细胞释放PTH,PTH动员骨钙入轿,增强肾重吸收钙,结果使已降低了血钙浓度迅速回升。相反,血钙浓度升高时,PTH分泌减少。长时间的高血钙,可使甲状旁腺发生萎缩,而长时间的低血钙,则可使甲状旁腺增生。 PTH的分泌还受其他一些因素的影响,如血磷升高可使血钙降低而刺激PTH的分泌。血Mg2+浓度很低时,可使PTH分泌减少。另外,生长抑素也能抑制PTH的分泌。

用降钙素

甲状旁腺甲状旁腺(4)降钙素是含有一个二硫键的三十二肽,分子量为3400。正常人血清中降钙素浓度为10-20ng/L,血浆半衰期小于1h,主要在肾降解并排出,降钙素整个分子皆为激素活性所必需。

降钙素的生物学作用

降钙素的主要作用是降低血钙和血磷,其主要靶器官是骨,对肾也有一定的作用。

1、对骨的作用 降钙素抑制破骨细胞活动,减弱溶骨过程,这一反应发生很快,大剂量的降钙素在15min内便可使破骨细胞活动减弱70%。在给降钙素1h左右,出现成骨细胞活动增强,持续几天之久。这样,降钙素减弱溶骨过程,增强成骨过程,使骨组织释放的钙磷减少,钙磷沉积增加,因而血钙与血磷含量下降。 成人降钙素对血钙的调节作用较小,因为降钙素引起的血钙浓度下降,可强烈地刺激PTH的。PTH的作用完全可以超过降钙素的效应。另外,成人的破骨细胞每天只能向细胞外液提供0.8g钙,因此,抑制破骨细胞的活动对血钙的影响是很小的。然而,儿童骨的更新速度很快,破骨细胞活动每天可向细胞外液提供5g以上的钙,相当于细胞外液总钙量的5-10倍,因此,降钙素对儿童血钙的调节则十分明显。

2、对肾的作用 降钙素能抑制肾小管对钙、磷、钠及氯的重吸收,使 这些离子从尿中排出增多。

降钙素分泌的调节

降钙素的分泌主要受血钙浓度的调节。当血钙浓度升高时,降钙素的分泌亦随之增加,降钙素与PTH对血钙的作用相反,区同调节血钙浓度的相对稳定。比较降钙素与PTH对血钙的调节作用,有两个主要的差别:

①降钙素分泌启动较快,在1h内即可达到高峰,而PTH分泌则需几个小时;

②降钙素只对血钙水平产生短期调节作用,其作用很快被有力的PTH作用所克服,后者对血钙浓度发挥长期调节作用,由于降钙素的作用快速而短暂,所以,对高钙饮食引起的血钙升高回复到正常水平起着重要作用。进食可刺激降钙素的分泌。这可能与几种胃肠激素如胃泌素、促胰液素以及胰高血糖素的分泌有关,它们都有促进降钙素分泌的作用,其中以胃泌素的作用最强。

症状分析

高血钙高血钙①高血钙表现。

患者体内PTH分泌过多,使骨溶解以及肾小管和肠道对钙的吸收作用增强,血钙升高。高血钙使神经兴奋性降低,因而产生神经肌肉和精神改变,如容易疲劳、肌力与肌张力下降、性格改变、智力与记忆力减退、情绪不稳定和失眠等,偶有精神病发作,严重者可昏迷。患者胃肠道蠕动弛缓,可有食欲不振、恶心、呕吐和便秘 ,溃疡病发生率增加。有的患者伴有慢性胰腺炎。

②泌尿系症状。

当血钙过高超过肾阈时尿钙排出增多,磷酸钙与草酸钙盐容易沉积于泌尿系统,形成泌尿系结石和肾钙化。半数患者有肾绞痛、血尿和尿砂石等症状。患者易发生泌尿系感染,导致肾功能损害,甚至尿毒症。此外,高血钙及高尿钙还能造成高渗性利尿,故患者常多尿、多饮。

③骨骼改变。

患者骨质普遍性脱钙,长期进展可出现全身性纤维囊性骨炎,特征性改变为指(趾)骨外缘出现骨皮质缺损,被称为骨膜下吸收,牙硬板也可被吸收;头颅X线相示砂粒样骨吸收改变;四肢长骨、肋骨、锁骨及骨盆等处可有囊性变、巨细胞瘤样改变或棕色瘤。患者常有局部或全身骨骼疼痛及压痛,行走、下蹲及起立均感困难,重者卧床不起,翻身困难。患者常有骨骼畸形和病理性骨折,身材可明显变矮;牙齿易于脱落 。继发、三发性及假性甲旁亢尚可有原发疾病的表现。

相关百科
返回顶部
产品求购 求购