肺炎支原体

肺炎支原体

目录导航

疾病症状

支原体肺炎突出表现为阵发性刺激性咳嗽

肺炎支原体肺炎支原体肺炎支原体感染人体后,经过2~3周的潜伏期,继而出现临床表现,约1/3的病例也可无症状。它起病缓慢,发病初期有咽痛、头痛、发热、乏力、肌肉酸痛、食欲减退、恶心、呕吐等症状。发热一般为中等热度,2~3天后出现明显的呼吸道症状,突出表现为阵发性刺激性咳嗽,以夜间为重,咳少量黏痰或黏液脓性痰,有时痰中带血,也可有呼吸困难、胸痛。发热可持续2~3周,体温正常后仍可遗有咳嗽。

支原体肺炎患者虽然自感症状较重,但胸部体检一般无明显异常体征。鼻部轻度鼻塞、流涕,咽中度充血。耳鼓膜常有充血,约15%有鼓膜炎。颈淋巴结可肿大。约10%~15%病例发生少量胸腔积液。除呼吸系统的表现外,支原体肺炎可伴发多系统、多器官损害。皮肤损害可表现为斑丘疹、结节性红斑、水疱疹等。胃肠道系统可见呕吐、腹泻和肝功损害。血液系统损害较常见溶血性贫血。中枢神经系统损害可见多发性神经根炎、脑膜脑炎及小脑损伤等。心血管系统病变偶有心肌炎及心包炎。

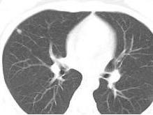
支原体肺炎患者胸部X线检查变化很大,病变可很轻微,也可很广泛。体征轻微而胸片阴影显著,是本病特征之一。血常规检查白细胞高低不一,大多正常,有时偏高。

支原体肺炎的临床表现和胸部X线检查并不具特征性,单凭临床表现和胸部X线检查无法做出诊断。若要明确诊断,需要进行病原体的检测。国内支原体肺炎的诊断主要依靠血清学检测。

疾病传播

肺炎支原体肺炎支原体肺炎支原体的致病首先通过其顶端结构粘附在宿主细胞表面,并伸出微管插入胞内吸取营养、损伤细胞膜,继而释放出核酸酶、过氧化氢等代谢产生引起细胞的溶解、上皮细胞的肿胀与坏死。诱发机体产生的抗体也可能参与了上述病理损伤。呼吸道分泌的SlgA对再感染有一定防御作用,但不够牢固。

肺炎支原体的诊断方法主要依靠分离培养和血清学试验。标本可采可疑病人的痰或咽试子,接种于含血清或酵母浸膏的琼脂培养基。5~10天后观察有无直径30~100um的圆形房顶样菌落。多次传代后可变为典型的“荷包蛋”样菌落,并能吸附多种动物红细胞和气管上皮细胞、HeLa细胞等,且此类吸附可被特异性抗体所抑制。分离的支原体经形态、溶血与生化反应作初步鉴定后需进一步用特异性抗血清作生长抑制试验和代谢抑制试验。用患者血清与支原体脂质抗原作补体结合试验,恢复期较急性期效价高4倍以上具有诊断价值。亦可用间接免疫荧光试验、间接血凝ELISA检测标本。另外,有1/3~3/4患者的血清可与人O型红细胞在4℃时有非特异性凝集(称为“冷凝集试验”),37℃时消失,患病一周时达到高峰。此方法简便,有助于诊断。

治疗可选用红霉素、四环素和氯霉素等。

支原体死疫苗和减毒活疫苗仍在试验中。

疾病注意

肺炎支原体肺炎支原体随着天气变冷,医院里的支原体肺炎患者逐渐多了起来。支原体肺炎又称“原发性非典型性肺炎”,2003年由冠状病毒引发的“非典”,一开始就曾被怀疑是支原体肺炎。那么支原体肺炎到底是怎么回事呢?

肺炎支原体是引起肺炎较常见的病原体,儿童和青少年多发

细菌和病毒感染都能够导致肺炎,而由肺炎支原体引起的肺炎称支原体肺炎。

60多年前,国外学者描述了一种不明病原体的肺炎,其不同于典型的由肺炎链球菌所致的肺炎,对青霉素治疗没有反应,故称为“非典型肺炎”。随着研究的深入,人们才认识到,引起这种肺炎的病原体就是肺炎支原体。

肺炎支原体不同于普通的细菌和病毒,它比细菌小,却比病毒大。它是能独立生活的最小微生物。支原体肺炎全年均可发病,以秋冬季多见。它由急性期患者的口、鼻分泌物经空气飞沫传播,引起呼吸道感染。其发病主要与室内活动增加及密切接触有关。支原体感染也可表现为咽炎、气管支气管炎。

疾病治疗

支原体肺炎患者的治疗

肺炎支原体肺炎支原体支原体肺炎主要是应用抗菌药治疗。由于咳嗽是支原体肺炎最突出的临床表现,可适当给予小剂量镇咳剂和祛痰药。病情严重有缺氧表现者应及时给氧。对喘憋严重者,可选用支气管扩张剂。对急性期病情发展迅速严重的支原体肺炎或肺部病变迁延而出现肺不张、肺间质纤维化、支气管扩张或有肺外并发症者,可应用肾上腺皮质激素。

儿童肺炎支原体感染的治疗

轻度肺炎支原体感染,可以口服有关药物,这些药物包括红霉素和新一代大环内酯类,例如阿奇霉素、克拉霉素和罗红霉素等。

中国儿科临床过多选择静脉途径给药,阿奇霉素静脉制剂有过度使用现象,2005年版《中华人民共和国药典》临床用药须知明示:<6个月CAP小儿,阿奇霉素疗效和安全性尚未确立,应慎用。静脉使用阿奇霉素有可能引起严重过敏休克反应。重度MP感染在疾病剧期可以静脉用药,但还是应该适时转成胃肠道用药,采用序贯疗法。静滴红霉素、阿奇霉素有胃肠道不适等不良反应,儿科临床有添加维生素B6、维生素K1、碳酸氢钠、654—2等药物的做法,但却无证据支持这种经验用药的有效性,且添加药可能改变血pH值,影响红霉素、阿奇霉素的疗效,这些药物均在偏碱性条件下活性增强。

支原体感染的疗程因病变部位而异,轻症上呼吸道部位感染通常为l0—14d。须注意的是:部分患儿在治疗后支原体仍可持续存在于呼吸道分泌物中,达数月之久,造成复发及播散。支原体肺炎推荐疗程:轻者2—3wk,重者则需4wk,个别会更长,应视具体病情而定。

可选药物及其剂量

红霉素:支原体的最低抑菌质量浓度为0.0156tzg/mL,细胞内外水平比为6.6:1。小儿30—50mg/(kg·d),分3~4次口服。也可静脉滴注用药,MP血症者是静滴红霉素的最强指征。

肺炎支原体肺炎支原体罗红霉素:小儿5~10mg/(kg·d),分2次口服。

阿奇霉素:小儿10mg/(kg·d),1次口服,口服3d后有效组织水平可维持7d,故停用4d,作为一个疗程。国外通常采用的方案是:第1天10mg/kg,第2~5天为5mg/kg,总剂量仍是30 mg/kg。临床过度使用阿奇霉素静脉制剂现象应予纠正。重症MP肺炎、胸膜炎者在疾病急性期可以静脉用药,但还应该采用序贯疗法,及时转成经VI服给药。

克拉霉素:用量为l0~15mg/(kg·d),分2次口服。螺旋霉素、交沙霉素等,儿科已较少使用。

疾病预防

干燥寒冷季节多喝温水、加强锻炼、房间通风

肺炎支原体肺炎支原体支原体感染可以造成小流行,故应注意呼吸道隔离。秋冬季房间也要定期开窗通风,保持室内空气新鲜。多喝温水,饮食以易消化、营养丰富的食物为宜。多开展户外活动,进行身体锻炼,尤其加强呼吸运动锻炼,以改善呼吸功能。在寒冷季节或气候骤变外出时,要及时增添衣服,以防受寒感冒。大环内酯类抗生素是常用的抗支原体药物。

相关百科
返回顶部
产品求购 求购