牙菌斑

牙菌斑

目录导航

疾病介绍

从专业角度来讲,牙菌斑是基质包裹的互相粘附、或粘附于牙面、牙间或修复体表面的软而未矿化的细菌性群体,为不能被水冲去或漱掉的一种细菌性生物膜。

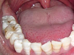
牙菌斑牙菌斑当牙菌斑量较少时,肉眼是很难观察到的,通常用菌斑指示剂可以很好地显示。

形成过程

牙菌斑牙菌斑牙菌斑,即“细菌社区”的建立、成熟需要经历三个阶段:

首先唾液中的营养物质吸附在牙齿表面,构成“社区”肥沃的“土壤”,即获得性薄膜形成。这个过程在刚清洁过的牙面上,数分钟内便可形成,1-2小时迅速增厚。

“土壤”形成之后,便可吸引细菌来定居,同时为细菌提供营养,即细菌粘附和共聚。首先会有先驱菌来定居,开垦土壤,建立社区的基本设施,之后便会吸引更多的其他细菌来定居,一个“新兴社区”就诞生了。

“新兴社区”如果没有人为的破坏,很快会发展壮大,成为一个“成熟的社区”,即菌斑成熟。众多细菌集结在一起,互相提供营养物质,同时汲取唾液中的养分,细菌大量增殖,“社区”结构也更加紧密,可以共同抵抗外界的干扰,这是用漱口的方法是无法清除的。一般9天就可以发展为拥有各种细菌的复杂、成熟“社区”。

相关危害

牙菌斑牙菌斑牙菌斑主要对牙和牙龈构成危害,也就是口腔最常见的两种疾病:龋病和牙周病。

龋病俗称“虫牙”,这里的“虫”指菌斑中的细菌。牙菌斑牢固地附着在牙面上,细菌摄入唾液中的糖,分解糖产酸,这些酸会破坏牙齿,最终成洞。

当牙菌斑靠近牙龈时,细菌产生的毒素和其他有害物质会刺激牙龈(俗称“牙肉”、“牙床”),产生炎症,即牙龈炎。如果不加控制,任其发展,牙龈炎有可能会发展为不可逆的牙周炎,引起牙槽骨的破坏,最终导致牙齿松动、脱落。

清除方法

口腔不可能成为一个无菌的环境,也不能把所有的细菌都消灭。因为消灭细菌之后,又会有真菌袭来,造成更严重的、很难控制的后果。因此我们必须坚持不懈地与牙菌斑作斗争,使这些“社区”维持在一个较低数量,防止“社区”发展壮大,甚至最终钙化,形成牙石。当牙石形成之后,使用日常口腔护理的方法是不能清除掉的,只能寻求专业人士的帮助,用专门的器械清除。

清除牙菌斑和打扫房间类似,墙缝及各种缝隙往往是最难清洁的地方,而牙齿的“缝隙”一个是牙与牙龈之间,一个是牙与牙之间。清洁不同的部位需要用到不同的方法,以下将一一介绍:

清洁牙与牙龈之间

刷牙

刷牙是众所周知的口腔护理方法,也是清除牙菌斑最基本和最主要的方法。首先要坚持早晚刷牙,而晚上刷牙尤其重要。牙面上的食物残渣没有及时清除,为细菌提供了极其丰富的营养物质,细菌可以大量增殖,同时产生更多的有害物质,而睡眠中,唾液分泌减少,不能很好地中和、稀释这些有害物质,因而会对牙齿造成严重的危害。

水平颤动法(又称Bass法)水平颤动法(又称Bass法)(4)1.关于牙刷、牙膏的选择:牙刷一般建议选用软毛牙刷,避免对牙齿或牙龈造成损伤,而近年来含药物的牙膏种类较多,主要功效有防龋、抑菌、止血、脱敏及减轻口臭等。但药物仅起辅助作用,主要靠机械清扫作用,正如洗衣服时,洗衣粉只起辅助作用,关键在于揉搓。

2.刷牙的方法刷牙的方法有数十种之多,关键在于牙刷到位,面面俱到。现仅介绍最常用的水平颤动法(又称Bass法)。如图:

一般的方法刷牙后,在牙齿与牙齿之间常余留菌斑,需要用其他方法来补充,来清除残留的菌斑。根据牙缝的大小不同可以使用牙线、牙签或间隙刷。

清洁牙与牙之间

一、牙线

牙线使用方法牙线使用方法(4)牙线是最常推荐使用的清除牙与牙之间的菌斑的方法,效果很好,适用于大多数人。但对于牙龈退缩严重,且牙根面呈凹陷外形的人不适用,这类患者应用间隙刷清洁牙与牙之间。如图:

二、牙签

对于牙龈乳头有退缩,牙间隙增大的情况下,可以用牙签来清洁牙与牙之间。应选用硬质木制或塑料的光滑无毛刺的牙签,将间隙两侧的牙面上的菌斑“刮”净。注意不要损伤牙龈。对于无牙龈乳头退缩的人,不适宜使用牙签。

使用牙签是否会使牙缝变大:牙缝变大是牙周炎组织破坏所致,并非牙签引起。牙龈因炎症而肿大,似乎充满牙间隙,在治疗后或者使用牙签、清除菌斑后,牙龈乳头的炎症消退而表现为退缩,使牙缝“变大”。

三、间隙刷(牙缝刷)

牙与牙之间有间隙,牙齿邻面外形不规则或牙根面为凹面时,清除菌斑的最佳方法是间隙刷,又叫牙缝刷。选用直径适宜的间隙刷,将刷头顺牙龈乳头的方向伸入到牙间隙处,做前后移动,将菌斑刷除。一般在每晚睡前刷牙后使用间隙刷即可。

四、其他

其他工具如家用冲洗器,可产生一定压力的水流,用于日常的口腔冲洗,有利于清除牙刷等措施不易到达的部位。家用冲洗器的应用不能替代刷牙,但可作为刷牙的补充手段。

相关百科
返回顶部
产品求购 求购