陈旧性肺结核

陈旧性肺结核

治疗方式 支持性治疗
易感人群 肺结核痊愈者
医保疾病
治愈率 100%
目录导航

病因介绍

陈旧性肺结核陈旧性肺结核得过肺结核后自愈,或者是经过治疗后留下的瘢痕。

疾病预防

陈旧性肺结核陈旧性肺结核陈旧性肺结核是指结核病症没有活动性和传染性,但并不是说结核杆菌完全被杀死,可能还会有部分病菌处于休眠状态,当身体抵抗力低下时候或许会重新发作,应该定期检查。

并发症

陈旧性肺结核陈旧性肺结核一般无并发症。

常见症状

陈旧性肺结核陈旧性肺结核一般无症状,多因其他原因出现咳嗽、咯痰,在就诊或健康体检时偶然发现。

疾病检查

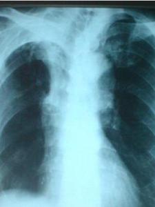
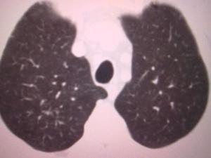
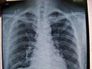
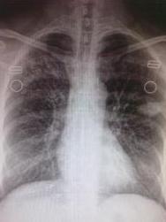
陈旧性肺结核陈旧性肺结核胸片。

诊断鉴别

陈旧性肺结核陈旧性肺结核根据胸片可确诊。

治疗方式

陈旧性肺结核陈旧性肺结核无需治疗。

疾病护理

陈旧性肺结核陈旧性肺结核无需特殊护理,健康饮食,经常体育锻炼,提高免疫力。

饮食保健

在饮食上无特殊要求,平时注意饮食多样化,多时蔬菜水果及五谷杂粮,注意多室外体力活动,抵抗力强的人很少复发。[1]

陈旧性肺结核陈旧性肺结核

相关百科
返回顶部
产品求购 求购