 
                
贫血(anemia):各种原因导致的外周血红细胞容量低于正常的临床综合征。在一定容积的循环血液内红细胞计数血红蛋白量以及红细胞压积均低于正常标准者。其中以血红蛋白最为重要。中国血液病学家认为,在中国海平面地区,成年男性Hb<120g/L(12.0g/dl)成年女性Hb<110g/L(11.0/dl),孕妇Hb<120g/L,就有贫血。贫血是临床最常见的表现之一然而它不是一种独立疾病,可能是一种基础的或有时是较复杂疾病的重要临床表现,一旦发现贫血必须查明其发生原因。
 贫血症因红细胞容量测定复杂,临床常以血红蛋白浓度(Hb)、红细胞计数(RBC)、血细胞压积(Hct)等指标替代,这就可能造成:假性贫血:红细胞容量,但血容量增加导致血液稀释,使Hb、RBC、Hct等浓度指标下降。见于妊娠、充血性心力衰竭、脾大、低白蛋白血症、巨球蛋白血症等。
贫血症因红细胞容量测定复杂,临床常以血红蛋白浓度(Hb)、红细胞计数(RBC)、血细胞压积(Hct)等指标替代,这就可能造成:假性贫血:红细胞容量,但血容量增加导致血液稀释,使Hb、RBC、Hct等浓度指标下降。见于妊娠、充血性心力衰竭、脾大、低白蛋白血症、巨球蛋白血症等。
漏诊贫血:贫血伴血液浓缩时,Hb、RBC、Hct等浓度指标下降不及红细胞容量,可能导致漏诊。见于急性失血性贫血早期等。
贫血(anaemia)是指全身循环血液红细胞[/url]总量减少至正常值以下。但由于全身循环血液中红细胞总量的测定技术比较复杂,所以临床上一般指外周血中血红蛋白[/url]的浓度低于患者同年龄组、同性别和同地区的正常标准。国内的正常标准比国外的标准略低。沿海和平原地区,成年男子的血红蛋白如低于12.5g/dl,成年女子的血红蛋白低于11.0g/dl,可以认为有贫血。12岁以下儿童比成年男子的血红蛋白正常值约低15%左右,男孩和女孩无明显差别。海拔高的地区一般要高些。
贫血患者红细胞计数的降低与血红蛋白浓度的降低一般是成比例的,但是小细胞低色素型贫血的红细胞计数减少比血红蛋白的减少相对的较少,以致贫血较轻时红细胞计数可以不低于正常。相反,大红细胞型贫血时,血红蛋白浓度相对地偏高,而红细胞计数偏低。当失水[/url]、水滞留或急性大量失血后血液总量尚未恢复到正常时,血红蛋白的浓度不能准确反映贫血的真实程度,因此临床上要考虑这些因素对贫血的影响。此外,在急性大量血管内溶血时,血浆内含有较高浓度的游离血红蛋白,这时血红蛋白测定的结果高于贫血的实际程度。在这种特殊情况下,红细胞压积和红细胞计数更能反映贫血的程度。
“贫血”是指单位容积血液内红细胞数和血红蛋白含量低于正常。正常成人血红蛋白量男性为12—16克/100毫升,女性为11—15克/100毫升;红细胞数男性为400一550万/立方毫米,女性为350—500万/立方毫米。凡低于以上指标的即是贫血。
中国血液病学家认为在中国海平面地区,成年男性 Hb<120 g/L ,成年女性(非妊娠)Hb<110 g/L ,孕妇Hb<100 g/L ,就是贫血。
l饮食中缺乏铁(红色的肉类、菠菜和绿叶蔬菜中可以找到)
2过分的节食
3生理期时失血过多
4太多的酒精
你的医生是诊断贫血症的最佳人选,仅仅是因为疲劳和抑郁也是其它疾病的征兆,而非仅仅是贫血症(因此千万不要自我诊断,然后根据自己的猜测开始大量补铁)。可以通过验血来检测贫血症。如果你的检测结果显示你缺铁,那么你的医生可能会给你推荐含铁的药物或者富含铁的饮食食谱。
自助方法:
提高饮食中铁含量。女性平均每天需要15毫克的铁。你可以通过吃肉、鱼、干杏脯、沙丁鱼、鸡肉、豆腐、菠菜和早餐麦片来提高你的饮食的铁含量。
世界卫生组织统计:全球约有30亿人不同程度贫血,每年因患贫血引致各类疾病而死亡的人数上千万。
中国患贫血的人口概率高于西方国家,在患贫血的人群中,女性明显高于男性,老人和儿童高于中青年。 约有 30%-40%的婴幼儿患有贫血,主要是由于母体贫血造成的连锁反应,致使新生儿从母体中吸收的生血物质的补给不足,体格及智力发育受到严重影响,产生厌食、挑食、对各种感染抵抗力减退等。妇女的贫血发病率为64.4%,女性的例假、怀孕时自身及胎儿对生血物质的双重需求、分娩出血都是直接原因。过去贫血的主要原因是营养不良,近年来因减肥而造成营养失调,形成了严重贫血的又一人群。
急性贫血、慢性贫血。
主要参考平均红细胞体积(MCV)
大细胞性贫血:MCV>100fL。
正细胞性贫血:MCV在80fL~100fL。
小细胞性贫血:MCV<80fL。
增生性贫血
增生不良性贫血
红细胞生成减少性贫血
造血原料异常所致贫血
造血细胞异常所致贫血
造血调控异常所致贫血
红细胞破坏过多性贫血:即溶血性贫血
失血性贫血
按发病原因,贫血可分为造血不良性、失血性和溶血性三大类。
(红细胞生成减少)
血红蛋白合成障碍
⒈缺铁性贫血:铁摄入不足、铁需要量相对增加(妊娠、儿童生长发育期)铁吸收障碍(慢性胃肠道疾病、胃大部切除术后),慢性失血。
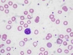
 一位缺铁性贫血患者的外周血涂片⒉铁粒幼细胞性贫血。3.维生素B6反应性贫血。
一位缺铁性贫血患者的外周血涂片⒉铁粒幼细胞性贫血。3.维生素B6反应性贫血。
⒋载铁蛋白缺乏性贫血。
⒈恶性贫血。
⒉其他原因致叶酸及或维生素Bl2。缺乏利用障碍引起的巨幼细胞贫血:营养不良(食物中缺乏、婴幼儿哺育不当、长期酗酒、顽固性厌食〉、需要量增加(妊娠、哺乳期、儿童生长发育期、阔节裂头绦虫感染、溶血、感染、甲状腺功能亢进症等〉、吸收不良(全胃或胃大部切除术后、慢性萎缩性胃炎、胃癌、慢性肝病、慢性肠炎、吸收不良综合征、肠切除术后、肠憩室细菌感染〉、药物对核酸代谢的影响(如抗叶酸剂、抗惊厥药、抗结核药、口服避孕药、新霉素、亚硝酸盐等)。
⒈干细胞缺陷
⑴再生障碍性贫血。
⑵先天性再生障碍性贫血。
⑶纯红细胞再生障碍性贫血。
⑷骨髓增殖异常综合征。
⒉骨髓造血组织被其他细胞挤占 白血病、恶性淋巴瘤、多发性骨髓瘤、骨髓转移癌、骨髓纤维化、系统性肥大细胞增多症、大理石骨病等。
⒊红细胞生成调节因子缺陷 肾性贫血、内分泌腺(如垂体、甲状腺)功能低下、感染性贫血等。
急性失血后贫血是快速大量出血引起的贫血;慢性失血后贫血是由于长期中度出血所致的小细胞性贫血。如见于慢性胃肠道疾病(例如消化性溃疡或痔疮),泌尿系或妇科的慢性出血.
如创伤致大量外出血或内脏破裂大出血、宫外孕、胃肠大出血等。
如月经过多、痔出血、钩虫病、胃癌、消化性溃疡等。
红细胞破坏过多。
⒈先天遗传性
⑴红细胞膜异常:遗传性球形细胞增多症、遗传性椭圆形细胞增多症、遗传性口形细胞增多症。
⑵红细胞酶异常:糖无氧酵解中酶的缺陷(如丙酮酸激酶缺乏症)磷酸己糖旁路中酶的缺乏(~磷酸葡萄糖脱氢酶缺乏症,常因服蚕豆、伯氨喹等氧化药物或感染诱发溶血;其他有关成分缺乏所致的溶血性贫血)。
⑶珠蛋白链异常:肽链量的异常(Q地中海贫血、B地中海贫血)、肽链结构异常(聚合性血红蛋白病、不稳定血红蛋白病)。
⒉后天获得性阵发性睡眠性血红蛋白尿(PNH)。
⒈免疫性
⑴自身免疫性:温抗体型(急性特发性获得性溶血性贫血、慢性特发性温暖型抗体免疫性溶血性贫血、症状性温暖型抗体免疫性溶血
性贫血)冷抗体型(特发性慢性冷凝集素病、阵发性寒冷性血红蛋白尿、症状性冷凝集素病人)。
⑵同种免疫性:新生儿溶血病、ABO血型不合溶血性输血反应、Rh血型不合溶血性输血反应。
⑶药物免疫性溶血性贫血:可见于对氨水杨酸、异烟姘、利福平、奎尼丁、非那西了、氨基比林、磺胺类药、氯丙嗪、氯磺雨脲、胰岛素、青霉素、头孢菌素等。
⒉非免疫性
⑴机械因素(红细胞碎片综合征):微血管病性溶血性贫血及人工心脏瓣膜置换术后溶血性贫血。
⑵感染性溶血性贫血:疟疾、败血症等。
⑶生物因素所致溶血性贫血;蛇毒、毒蕈等。
⑷药物及化学品所致溶血性贫血。
⑸脾功能亢进。
⑹弥散性血管内凝血(DIC)
⑺电离辐射。
红细胞的主要作用就是将氧带到全身各组织器官,一旦发生贫血,由于红细胞数及血红蛋白浓度减低,这种带氧的作用必然会受到影响,就会出现组织器官缺氧的一系列表现。
贫血症状的轻重与贫血发生的程度及进展速度有关。由于皮肤、粘膜下毛细血管较表浅,皮肤粘膜苍白最容易为人们所注意,脑细胞缺氧,轻者感头昏,注意力不集中,记忆力差;重者可出现嗜睡或昏迷。为代偿贫血时机体组织器官供氧量的不足,心脏增加跳动次数及搏出量,可引起心慌、胸闷、气短。有冠状动脉粥样硬化性心脏病者,心肌缺氧可引起心绞痛发作。长期严重贫血,心脏肥厚扩大,心脏代偿不足,可致淤血及心力衰竭。
胃肠道细胞缺氧可引起食欲减低、腹胀及腹泻。贫血症由于基础代谢增加,还可出现低热。除了这些共有表现外,在各类贫血还有其特有的临床表现。
红细胞丙酮酸激酶活性
丙酮酸激酶为四聚体,是提供红细胞能量的重要的酶。缺乏此酶,红细胞因能量消耗而破坏。采用比色法。
浆膜腔积液葡萄糖
 贫血症的病因图解浆膜腔积液葡萄糖定量指检测积液中的葡萄糖含量,以区别漏出液和渗出液。脑脊液胆红素
贫血症的病因图解浆膜腔积液葡萄糖定量指检测积液中的葡萄糖含量,以区别漏出液和渗出液。脑脊液胆红素
脑脊液的一种检查方法。
血小板相关免疫球蛋白(PAIgG、PAIgA、PAIgM)
血小板相关免疫球蛋白,又称血小板相关抗体,是病人体内的自身抗血小板抗体,包括PAIgG、PAIgA、PAIgM。
抗球蛋白试验(Coombs试验)
抗球蛋白试验,又称为Coombs试验。指检测血液中不完全抗体的一种方法。
脑脊液细胞计数(CST)
指对脑脊液中的全部细胞进行计数。脑脊液不含红细胞,无白细胞或含极少量的白细胞。
脑脊液细胞学检查
脑脊液细胞学检查是在腰椎(或其他部位)穿刺后获取标本,用显微镜观察脑脊液中有无恶性肿瘤细胞。
姐妹染色单体互换
姐妹染色单体交换是近年来细胞遗传学研究的一个新方法。其原理是,当细胞接触到5-溴脱氧尿嘧啶核苷(Brdu)时,Brdu可作为核苷酸前体物,专一替代胸腺嘧啶掺入到新合成的DNA链中。只要通过两个细胞复制周期,就可使姐妹染色单体中的一条单体的DNA双链中,有一股链是掺入有Brdu的,而另一条单体的DNA双链中,两股链全掺入有Brdu.这样的细胞经过分化染色处理,即可见到同一条染色体的两条姐妹染色单体有明显的差异,有一条单体为深色,另一条为浅色。
尿铁(Fe)
尿液检查。
染色体
常用的正常和异常染色体的命名、缩写和符号(ISCN,1978)如下:
A~G成染色体组;
1~22 常染色体序号;
X,Y 性染色体;
/ 用于分开嵌合体不同的细胞系;
血块收缩试验
血液凝固后,血凝块发生收缩,这主要与血小板的数量、质量、功能有关。血块收缩时间测定,通过观察血块回缩后血清的析出体积来反映血小板收缩功能。
出血时间
在一定条件下,人为刺破皮肤毛细血管后,从血液自然流出到自然停止所需的时间,称为出血时间(bleeding time,BT)。BT测定受血小板的数量和质量、毛细血管结构和功能以及血小板与毛细血管之间相互作用的影响,而受血液凝固因子含量及活性作用影响较小。BT测定方法有Duke法和Ivy法,目前推荐使用标准化出血时间测定器法(template bleeding time,TBT)。
贫血不是一种独立的疾病,而是指单位容积循环血液中的红细胞比积、红细胞数及/或血红蛋白量低于正常值,以及全血容量减少,并由此而引发的综合症状的总称。各种动物均常发生。
贫血的病因诊断最重要,诊断贫血的主要手段有:详细询问病史,仔细体格检查,必要的实验室检查。
(一)病史询问:贫血发生时间、病程、症状
(二)体检:皮肤,巩膜有无黄染,淋巴结、肝、脾是否肿大,肛诊等
(三)实验室检查:是诊断贫血的主要依据
⒈血常规检查,血红蛋白及细胞计数是确定贫血的可靠指标。
⒉血涂片检查:观察红C、 白C、血小板数量变化及形态改变。
⒊网织红细胞计数:了解红细胞增生情况以及作为贫血疗效的早期指标
(四)骨髓检查:任何不明原因的贫血都应作骨髓穿刺,必要时作骨髓活检。
(五)病因检查:根据患者的不同情况选择病因检查项目
 贫血症美国科学家13日在《自然遗传学》杂志网络版上报告说,一个名为TMPRSS6的基因发生变异后,会导致出现一种罕见疾病——“难治性缺铁性贫血症”。科学家称,这一发现将为治疗常见的铁失调症提供新思路。缺铁是目前最常见的营养缺乏症之一,而且缺铁是贫血的主要诱因,不过大多数的缺铁者都能通过补铁缓解。但是,来自波士顿儿童医院及杜克大学的科学家在报告中介绍说,多年来,他们收治过多例奇特的儿童缺铁性贫血症患者,口服补铁制剂根本没有任何作用,静脉注射补铁的效果也十分有限。
贫血症美国科学家13日在《自然遗传学》杂志网络版上报告说,一个名为TMPRSS6的基因发生变异后,会导致出现一种罕见疾病——“难治性缺铁性贫血症”。科学家称,这一发现将为治疗常见的铁失调症提供新思路。缺铁是目前最常见的营养缺乏症之一,而且缺铁是贫血的主要诱因,不过大多数的缺铁者都能通过补铁缓解。但是,来自波士顿儿童医院及杜克大学的科学家在报告中介绍说,多年来,他们收治过多例奇特的儿童缺铁性贫血症患者,口服补铁制剂根本没有任何作用,静脉注射补铁的效果也十分有限。
这种罕见疾病在医学上被称作“难治性缺铁性贫血症”,其病因此前一直是个谜。患病儿童饮食正常,也没有任何影响铁吸收或者引发慢性失血的病症。长期观察发现,这些患者通常年龄很小时发病,有些患者的兄弟姐妹中也有患缺铁性贫血症的。科研小组于是对其中5个典型家庭(即每个家庭至少有1人患有慢性缺铁症)进行分析。结果发现,这几个家庭均存在一些成员的TMPRSS6基因变异的现象。
分析发现,TMPRSS6基因变异后就会“沉默”,如果缺乏TMPRSS6基因编码的蛋白质,人体内就会产生过多Hepcidin激素。正常情况下,这种激素负责控制人体不要过量吸收铁。但是患有“难治性缺铁性贫血症”的患者,尽管体内已经缺铁,却仍大量产生这种控制激素,导致铁代谢失调。
科学家推断,更为常见的缺铁性贫血症背后很可能也是基因在作怪。
研究报告称,TMPRSS6基因负责调控Hepcidin激素这一点,有望为常见的铁失调症治疗提供新思路。例如,对于体内铁吸收过量的人,可尝试抑制该基因的表达。相反,如果刺激该基因表达,就应该有助于缓解缺铁性贫血症患者的病情。
贫血症
补充叶酸和维生素Bl2
 贫血症叶酸、维生素B12摄人不足或吸收不良会导致巨幼细胞性贫血。叶酸缺乏者可口服叶酸10mg,每日3次,或30mg,每日1次肌注,直至贫血及症状完全消失;维生素B12缺乏者,每日1次肌注维生素B12,2周后,每周2次,血象正常后每月1次,痊愈后停药。
贫血症叶酸、维生素B12摄人不足或吸收不良会导致巨幼细胞性贫血。叶酸缺乏者可口服叶酸10mg,每日3次,或30mg,每日1次肌注,直至贫血及症状完全消失;维生素B12缺乏者,每日1次肌注维生素B12,2周后,每周2次,血象正常后每月1次,痊愈后停药。
生的肝萃取物,每日2次,各500毫克或两周注射一次。可考虑采取注射方式(但仅在医师的监督下进行)含有所有制造红血球所需。
用于缺铁性贫血症
 贫血症英国研究发现,一种蛋白质可根据体内的铁含量做出反应,因此治疗贫血症将有新方法。据英国广播公司(BBC)报道,英国科学家表示,他们发现了内脏将铁从肉类吸收到血液的过程,他们希望这一发现能令研究人员找到治疗贫血的新方法。
贫血症英国研究发现,一种蛋白质可根据体内的铁含量做出反应,因此治疗贫血症将有新方法。据英国广播公司(BBC)报道,英国科学家表示,他们发现了内脏将铁从肉类吸收到血液的过程,他们希望这一发现能令研究人员找到治疗贫血的新方法。
英国伦敦国王学院研究小组在接受《细胞》杂志的采访时表示,一种重要蛋白质看起来控制着老鼠身上铁吸收的整个过程。研究人员表示,这种蛋白质的变异可能影响人体吸收铁的能力。铁缺乏症会令人易于疲劳,是世界上最常见的营养问题。在英国,大约20%的女性都有贫血问题。
铁来自于植物(无机铁)或动物组织(血铁质)。相比有机铁,人体对血铁质更易吸收,这也就是专家为何推荐红色肉类(指羊肉、牛肉等)预防贫血的原因。但在此之前,科学家一直对内脏如何吸收血铁质的过程不了解。通过研究具有贫血症的老鼠,伦敦国王学院的研究小组确认了一种名为HCP1的充当运输者的蛋白质,在十二指肠(肠的开始部分)内十分活跃,而且还会在肠细胞内不断转移位置,对人体内铁储存量的变化做出适当反应,使得细胞能吸收人体所需的血铁质。
领导此项研究的科学家说:“目前,具有贫血症的孕妇一般被推荐补充有机铁质补品,但人体对这种补品的吸收一般比较差。我们现在就可以研制出血铁质的合成物,而这种合成物将更易吸收。”
牛髓山药蜜
牛骨髓250克,生山药250克,冬虫夏草30克,胎盘粉30克,蜂蜜250克。共捣匀,入瓷罐,放锅中隔水炖30分钟。每次服2汤匙,每天2次,连服数剂。适用于临床表现见头晕、耳鸣、午后发热、手足烦热、遗精资汗等肝肾阴虚型贫血症。
黄豆芽猪血汤
黄豆芽、猪血各250克,料酒、植物油、蒜茸、葱末、精盐、味精各适量。黄豆芽去要洗净。猪血划成小方块,用清水漂净。锅内加植物油烧热,爆香蒜茸、葱末,下猪血并烹入料酒,加水煮沸,放入黄豆芽,煮2分钟,调入精盐,味精即成。随意服食。
功效润肺补血。适用于血虚头晕,缺铁性贫血等症。
贫血是一类相当常见的疾病,通常大多数的贫血是营养性(如缺铁性)贫血。然而经常会碰到补充铁剂后仍无法纠正的贫血,这类所谓的"不明原因的难治性贫血"中,遗传性溶血性贫血占了相当大的一部分。
遗传性溶血性贫血一般在幼年时就开始发病,通常是渐渐发病,时轻时重,除了面色苍白,乏力、胃口不好、头晕等一般贫血常见的症状外,皮肤、眼球发黄(如黄疸)是比较特征性的表现(并非每个病人都存在)。
有黄疸时,小便的颜色也常变黄并加深,严重时尿色可深如酱油。根据病因的不同一般将遗传性溶血性贫血分为几类:
第一类是由于血液中红细胞膜发生了异常的改变而导致的溶血性贫血。正常的红细胞看上去像个汽车轮子(双凹碟形),当红细胞膜发生改变后红细胞就会变成球形或椭圆形。这种红细胞在通过很细的毛细血管时就有可能被挤破,过多的红细胞被破坏,贫血就发生了。遗传性球形红细胞增多症就属于这一类贫血。
第二类是由于红细胞中血红蛋白的合成发生了障碍而致的溶血性贫血。华南、西南地区很常见的地中海贫血就是其中的一种,该病在广东的发生率为5~6%。地中海贫血主要分为两大类,由血红蛋白的α链合成减少而引起的贫血称为甲型地中海贫血,由血红蛋白β链合成减少而引起的贫血称为乙型地中海贫血。根据病情的轻重不同各自又分为轻型和重型。重型甲型地中海贫血患者一般为死胎或出生后即死亡,死胎全身水肿、肚大、胎盘特别大,故又称为"水肿胎儿综合征"。而重型乙型地中海贫血患者在出生时往往看不出异常,数月后则慢慢出现面色苍白,痴呆型面容,发育不良,并且贫血不断加重,常需间断的输血来维持生命。
饮食营养要合理,食物必须多样化,食谱要广,不应偏食,否则会因某种营养素的缺乏而引起贫血。要富有营养及易于消化。饮食应有规律、有节制,严禁暴饮暴食。多食含铁丰富的食物,如猪肝、猪血、瘦肉、奶制品、豆类、大米、苹果、绿叶蔬菜等。多饮茶能补充叶酸,维生素B12,有利于巨细胞性贫血的治疗。但缺铁性贫血则不宜饮茶,因为饮茶不利于人体对铁剂的吸收。适当补充酸性食物则有利于铁剂的吸收。忌食辛辣、生冷不易消化的食物。平时可配合滋补食疗以补养身体。
进行适当的体育活动。
补血食物
乌骨鸡肉:味甘,性平,有补血养阴,退热除烦之功效。
贫血症的饮食疗法
桑葚:味甘,性寒。具有补肝益肾,滋阴养血之功效。
龙眼:味甘,性平。具有补益心脾,养血安神之功效。
黑芝麻:味甘,性平。具有滋补肝肾,养血生津的功效。
黑木耳:味甘,性平。具有益气润肺,补脑强志,和血养营的功效。
红糖:味甘,性温。具有养血活血,补中暖胃的功效。
鸡蛋:其中鸡蛋黄味甘,性平,具有滋阴养血、润燥息风之功效。
动物肝脏:一般指猪肝、羊肝、牛肝、鸡肝、鸭肝等。可改善人体造血系统功能,促进血红蛋白和红细胞的生成,为补血之佳品。
 贫血症的饮食疗法⒈生活的调理:保持心情舒畅,避免剧烈活动、劳累。体位改变应缓慢进行,以免产生急性脑缺血而晕倒。2.饮食的调摄:多吃绿色蔬菜和含铁量高的食物,如蛋黄、牛肉、肝、肾、海带、豆类等。不饮茶,茶叶中的鞣酸会阻碍铁质的吸收。胃酸缺乏(如萎缩性胃炎、胃切除术后)者可适当口服些稀盐酸。盐酸能将食物中的铁游离化,增加铁盐的溶解度,有利吸收。吃一些维生素C,有利食物中铁的吸收。使用传统的铁锅煎炒食物,锅与铲之间的磨擦会产生许多微小的碎屑,在加热过程中,铁可溶于食物之中,故铁锅是一种很好的补血器皿。
贫血症的饮食疗法⒈生活的调理:保持心情舒畅,避免剧烈活动、劳累。体位改变应缓慢进行,以免产生急性脑缺血而晕倒。2.饮食的调摄:多吃绿色蔬菜和含铁量高的食物,如蛋黄、牛肉、肝、肾、海带、豆类等。不饮茶,茶叶中的鞣酸会阻碍铁质的吸收。胃酸缺乏(如萎缩性胃炎、胃切除术后)者可适当口服些稀盐酸。盐酸能将食物中的铁游离化,增加铁盐的溶解度,有利吸收。吃一些维生素C,有利食物中铁的吸收。使用传统的铁锅煎炒食物,锅与铲之间的磨擦会产生许多微小的碎屑,在加热过程中,铁可溶于食物之中,故铁锅是一种很好的补血器皿。
⒊食疗补血
①莲子桂圆汤:莲子、桂圆肉各30克,红枣20克,冰糖适量。将莲子泡发后去皮、心洗净,与洗净的桂圆肉、红枣一同放入沙锅中,加水适量煎煮至莲子酥烂,加冰糖调味。睡前饮汤吃莲子、红枣、桂圆肉,每周服用1~2次。此方具有补心血、健脾胃功效,适用于贫血乏力、神经衰弱、心悸、健忘、睡眠不安等。
②猪肝粥:猪肝(其它动物肝脏也可)100~150克,粳米100克。先将猪肝洗净切碎,与粳米一同入锅,加水1000克及葱、姜、油、盐各适量,先用旺火烧开,再转用文火熬煮成稀粥。日服1剂,分数次食用。此方具有益血补肝、明目的功效,适用于血虚萎黄、贫血、慢性肝炎、夜盲、青光眼等症。
1、龙眼肉15克,红枣3-5枚,粳米100克。同煮成粥,热温服。
功效:养心补脾,滋补强壮。
2、新鲜羊骨2斤(1000克),粳米200克。羊骨洗净捶碎,加水熬汤,去渣后,入粳米共煮成粥。食用时中适量调米温服,10-15天为一疗程。
功效:补肾壮骨。
我国是世界上缺铁性贫血发生率较高的国家之一,发生率达到15%~20%,其中妇女儿童贫血率高达20%以上,贫血严重威胁妇女健康。3、糙糯米100克,薏苡仁50克,红枣15枚。同煮成粥。食用时加适量白糖。
3、糙糯米100克,薏苡仁50克,红枣15枚。同煮成粥。食用时加适量白糖。
功效:滋阴补血。
4、制首乌60克,红枣3-5枚,粳米100克。先以制首乌煎取浓汁去渣,加入红枣和粳米煮粥,将成,放入红糖适量,再煮一二沸即可。热温服。首乌忌铁器,煎汤煮粥时需用少锅或搪瓷锅。
功效:补肝益肾,养血理虚。
5、鸡蛋2个,取蛋黄打散,水煮开先加盐少许,入蛋黄煮熟,每日饮服2次。
功效:补铁,适用于缺铁性贫血。
当减肥瘦身成为都市生活的主题时,另一种营养缺乏性疾病却以不可思议的速度攻占了现代家庭中的最小成员,这就是缺铁性贫血。
6、猪肝150克,菠菜适量。猪肝洗净切片与淀粉、盐、酱油、味精适量调匀,放入油锅内与焯过的菠菜炒熟,或用猪肝50克洗净切片,放入沸水中煮至近熟时,放入菠菜,开锅加入调米,吃肝吃菜喝汤。
功效:补铁,适用于缺铁性贫血给孩子吃一款“补血菜”。
⒈人参粥
人参末(或党参末15克),冰糖少量,粳米100克煮粥常食,治疗贫血有一定作用。
⒉牛乳粥
粳米100克煮粥,将熟时加入鲜牛奶约200克,食之。可辅助防治妊娠贫血。
⒊菠菜粥
先将菠菜适量放入沸水中烫数分钟后,切碎,放入煮好的粳米粥内食之,防治贫血有一定效果。
⒋甜浆粥
用鲜豆浆与粳米100克煮粥,熟后加冰糖少许。可辅助治疗贫血。
⒌鸡汁粥
先将母鸡一只煮汤汁,取汤汁适量与粳米100克煮粥食。孕妇常食,可辅助防治贫血症。
⒍香菇红枣
取水发香菇20克,红枣20枚,鸡肉(或猪瘦肉)150克,加姜末、葱末、细盐、料酒、白糖等,隔水蒸熟,每日1次。常食,可辅助治疗妊娠贫血。
⒎大枣粥
大枣10枚,粳米100克,煮粥常食,防治妊娠贫血有一定作用。
⒏芝麻粥
黑芝麻30克,炒熟研末,同粳米100克,煮粥食之。孕妇常食,能辅助治疗妊娠贫血。
⒐枸杞粥
枸杞子30克,梗米100克,煮粥。孕妇常食,可辅助治疗妊娠贫血
服用药物治疗老年人贫血同时生活调理也很重要。如何老人没有贫血,生活调理也可以起着预防的作用。
⒈食物多样,谷类为主。保证足够的营养,特别是铁元素及蛋白质的摄入量,多吃富含铁质的食物,如动物肝脏、黑木耳、芝麻酱、大枣、豆制品、绿叶蔬菜等。血红蛋白的主要成分是血红素和球蛋白。老年人在日常饮食中应摄入丰富的优良蛋白质食物,如瘦肉、蛋、乳、鱼虾、动物血、豆制品多吃蔬菜、水果和薯类。常吃奶类、等。
⒉积极参加体育锻炼,增强食欲。
⒊不要过分节制饮食,及时纠正偏食,要吃平衡膳食。
⒋患有老年人贫血在服用铁剂期间要忌饮茶水。宜饭后服用,需要用1-2个月,贫血才能得纠正。
⒌每日适当多喝水。少用煎、炸的食物。
孕妇在怀孕期间,多数会出现不同程度的贫血,其发生原因与营养不良有密切关系,其中绝大多数孕妇属于缺铁性贫血。现将妊娠贫血的几种食疗介绍如下:
一、阿胶瘦肉汤:取瘦猪肉100克,阿胶10克。先将肉放砂锅内,加水适量,用文火炖熟加阿胶烊化,调味后饮汤食肉,隔天1次,连用20天。
二、花生枸杞蛋:取花生仁100克,鸡蛋2个,枸杞子10克,红糖50克,大枣10枚。先将花生仁、枸杞子煮熟,然后放入红糖、大枣和鸡蛋,再煮片刻服食,每天1次,连服10—15天。
三、当归生姜羊肉汤:取当归、生姜各15克,羊肉250克,山药30克。先将羊肉洗净切块,当归用纱布包好,再将山药、姜片放砂锅内,加水适量,共炖汤,烂熟后放调味品,饮汤食肉,每周3—4次,连用20天。
四、桂圆桑椹汁:取桂圆1份,桑椹2份,加水煮至熟烂,去渣留汁,再加适量冰糖,熬至稍稠食用,每日3次,每次服2—3匙,连服30天。
五、枸杞大枣粥:取大枣15枚,枸杞10克,与50克大米共熬为粥,每天3—4次,连服30天。
六、首乌芝麻鸡:取何首乌150克,黑芝麻50克,未下蛋乌骨子鸡1只。先将鸡剖洗后,去头足,将首乌、芝麻置于鸡胸,用白丝线缝合,放砂锅内煲至鸡烂,即可食用,每周1次,连用3周。
七、海参:海参具有补肾益精、滋阴补血、润燥调经、养胎利产等作用。
海参冰糖黑木耳治贫血
配方:海参(干鲜品均可)1个,冰糖、黑木耳适量。制法服法:将海参、黑木耳洗净,然后与冰糖同入锅中,加适量水,文火炖烂。每日服1次。
市场上出售的海参一般为干海参,家庭简单水发海参的办法是:
第一步,用暖水瓶装满开水,将洗净的干海参放入其中(不要装入太多),盖严盖子,12小时后即可取出。
第二步,顺肚开口,取出内脏,洗净后再放在冷水中浸泡5~6小时,即可烹调。
水发时切记,水中不可有油和盐。海参遇油易腐烂溶化,遇盐则不易发透。以上的海参食疗秘方,虽然简单,但是补血效果很好。有贫血症的朋友们不妨一试。
适量的脂肪摄入能为机体提供热量;但过量的食入脂肪,则会抑制人体的造血功能,同时影响贫血患者的消化吸收功能。所以,每日脂肪供给量不应多于70克,一般以50克左右为宜。且应尽量选择含不饱和脂肪酸的植物油。
人体内如呈碱性环境,不利于铁质的还原和吸收利用;胃酸缺乏也会影响食物中铁的游离和转化。故贫血患者尽量少食碱性食物,如馒头、高粱面等。
忌油炸食物和不易消化之物
油炸食品一方面其中所含的大量营养成分被破坏;另一方面油炸食品变得坚硬,不易被消化吸收,停留在肠道,引起肠道渗透压的改变,造成肠道功能紊乱,反过来又加重了肠道营养成分的吸收障碍。不易消化的食物同样也极易引起消化功能的紊乱,导致营养吸收不良。
缺铁性贫血患者在使用铁剂治疗或服用其他补血药时,不可饮茶。因为茶叶中有一种叫做鞣酸的物质,可以与铁剂结合形成不溶性的鞣酸铁,妨碍人体对铁的吸收。同样,咖啡也因含有鞣酸而成为缺铁性贫血的禁忌。
大蒜含有较多的挥发性物质,据研究表明,大蒜本身具有刺激性,多食用会抑制胃液分泌,影响食物的消化和吸收;它还会降低血红蛋白和红细胞数目,可加重贫血。所以,缺铁性贫血患者不宜食用大蒜。
牛奶虽然含有丰富的营养如蛋白质,但铁的含量很低,钙和磷的含量较高。牛奶中的钙和磷会和人体内的铁结合成不溶性的含铁化合物,使人体内的铁更显不足。所以,缺铁性贫血者不宜多饮牛奶。
患了贫血症饮食调理十分重要,要严格遵医嘱并注意以上的饮食禁忌,才有利于病情的康复。
 
         
         
 求购
    求购