嗜铬细胞瘤

嗜铬细胞瘤

目录导航

基本概述

  嗜铬细胞瘤起源于嗜铬细胞(chromaffin cell)。胚胎期,嗜铬细胞的分布与身体的交感神经节有关。随着胚胎的发育成熟,绝大部分嗜铬细胞发生退化,其残余部分形成肾上腺髓质。因此绝大部分嗜铬细胞瘤发生于肾上腺髓质。肾上腺外的嗜铬细胞瘤可发生于自颈动脉体至盆腔的任何部位,但主要见于脊柱旁交感神经节(以纵隔后为主)和腹主要见于分叉处的主动脉旁器(Zuckerkandl organ)。恶性嗜铬细胞瘤占嗜铬细胞瘤的10%。可发生任何

年龄组,最好发于30-50岁。儿童较少见。

病因简介

   嗜铬细胞瘤位于肾上腺者占80%~90%,且多为一侧性;肾上腺外的瘤主要位于腹膜外、腹主动脉旁(占10%~15%),少数位于肾门、肝门、膀胱、直肠后等特殊部位。多良性,恶性者占10%。与大部分肿瘤一样,散发型嗜铬细胞瘤的病因仍不清楚。家族型嗜铬细胞瘤则与遗传有关。

  有报道在多发性内分泌腺瘤病(MEN-2A,MEN-2B)中的嗜铬细胞瘤有1号染色体短臂的缺失,也有人发现以上两者均有10号染色体REI原癌基因的种系(germ-line)突变,MEN2A表现为RET10号外显子的突变,此突变可以编码细胞外蛋白质配体结合区域的半胱氨酸残基,从而影响细胞表面的酪氨酸激酶受体,而MEN-2B则有10号染色体RETB原癌基因突变,该突变影响细胞内蛋白质结合区域的酪氨酸激酶催化部位。

  酪氨酸激酶与细胞生长和变异的调节有关。从而导致易感人群发病。von Hippel-Lindau综合征中的嗜铬细胞瘤,基因损害存在于3p25~26的VHL基因(又称肿瘤抑制基因),突变多种多样,3个外显子(1,2,3号外显子)均可发生突变,可表现为无义突变、错义突变、移码突变或缺失突变等,嗜铬细胞瘤与其错义突变有关;当基因发生突变时,细胞生长失去控制而形成肿瘤。VHL基因生殖细胞系突变决定VHL家族的肿瘤易感素质及发病情况,而VHL基因的体细胞系突变则与所发生的肿瘤的恶性倾向有关。在多发性神经纤维瘤(Ⅰ型和Ⅱ型)中,嗜铬细胞瘤只与Ⅰ型有关,其基本的基因损害为17号染色体的RFl基因的失活性突变。此基因也是一个肿瘤抑制基因,其失去表达后,可导致嗜铬细胞瘤及其他肿瘤的发生。

病理改变

  嗜铬细胞瘤90%以上为良性肿瘤。肿瘤切而呈棕黄色,血管丰富,间质很少,常有出血。肿瘤细胞较大,为不规则多角形,胞浆中颗粒较多;细胞可被铬盐染色,因此称为嗜铬为细胞瘤。据统计,80%~90%嗜铬细胞瘤发生于肾上腺髓质嗜铬质细胞,其中90%左右为单侧单个病变。多发肿瘤,包括发生于双侧肾上腺者,约占105。起源肾上腺以外的嗜铬细胞瘤约占10%;国内此项统计结果稍高一些。恶性嗜铬细胞瘤约占5%~10%,可造成淋巴结、肝、骨、肺等转移。少数嗜铬细胞瘤可同时有多发性皮下神经纤维瘤,其中大约25%与Hippel-Lindau综合征联锁。嗜铬细胞瘤也是Ⅱ型多发性内分泌肿瘤(MENⅡ)的主要病变。MENⅡ发病呈家族性,属常染色体显性遗传,约占嗜铬细胞瘤发病的5%~10%;对于双侧肾上腺嗜铬细胞瘤患者,尤其应当警惕MENⅡ的存在。

  嗜铬细胞瘤能自主分泌儿茶酚胺,包括肾上腺素、去甲肾上腺素以及多巴胺。肾上腺素和去甲肾上腺素能作用于肾上腺素能受体,如α和β受体,影响相应的组织器官,引起一系列临床表现。嗜铬细胞瘤患者的所有病理生理基础,均与肿瘤的这一分泌功能有直接的关系。

临床表现

  嗜铬细胞瘤多见于青壮年,高发年龄为30~50岁,患者性别间无明显差别。

  1.心血管系统表现 由于大量的儿茶酚胺间歇地进入血液循环,使血管收缩,末梢阻力增加,心率加快,心排出量增加,导致血压阵发性争骤升高,收缩压可达26.6kPA(200mmHg)以上,舒张压也明显升高。发作时可伴有心悸、气短、胸部压抑、头痛、面色苍白、大量出汗、视力模糊等,严重者可出现脑溢血或肺水肿等高血压危象。发作缓解后患者极度疲劳、衰弱,可出现面部等皮肤潮红。发作可由体位突然改变,情绪激动、剧烈运动、咳嗽及大小便等活动引发。发作频率及持续时间个体差异较大,并不与肿瘤的大小呈正相关。

  有的患者可表现为持续性高血压。据报道,约90%的儿童患者表现为持续性高血压,成人也有50%左右表现为持续性高血压。不同之外在于有肾上腺素或去甲肾上腺素分泌过多的表现。少数患者可出现发作性低血压、休克等表现。少数患者可出现发作性低血压、休克等发现,这可能与肿瘤坏死,瘤内出血,使儿茶酚胺释放骤等停,或发生严重心脏意外等有关。出现这种情况预后常较恶劣。

  1958年,Szakas提出儿茶酚胺心肌病这一概念,特点是由于儿茶酚胺对心肌的直接毒性作用,使心肌肥厚、水肿、灶性出血、内膜肥厚及炎症细胞浸润等。临床表现似心肌炎,严重者可出现心力衰竭及严重心律失常。

  2.代谢紊乱 儿茶酚胺刺激胰岛α-受体,使胰岛素分泌下降,作用于肝脏α、β受体及肌肉的β受体,使糖异生及糖原分解增加,周围组织利用糖减少,因而血糖升高或糖耐量下降。儿茶酚胺还能促进垂体TSH及ACTH的分泌增加,使甲状腺素及肾上腺皮质激素的分泌增加,导致基础代谢增高,血溏升高,脂肪分解加速,引起消瘦。少数患者可出现低血钾。

  3.其他表现 儿茶酚胺可松弛胃肠平滑肌,使胃肠需动减弱,故可引起便秘,有时甚为顽固。胃肠小动脉的严重收缩痉挛,可使胃肠粘膜缺血,偶有坏死穿孔等症状。由于肿瘤生长对邻近器官的压迫,临床上可出现相应的表现。

检查化验

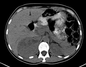
  1、肾上腺CT扫描为首选:做CT检查时,由于体位改变或注射静脉造影剂可诱发高血压发作,应先用α-肾上腺素能受体阻断剂控制高血压,并在扫描过程中随时准备酚妥拉明以备急需。

  2、磁共振显像:可显示肿瘤与周围组织的解剖关系及结构特征,有较高的诊断价值。

  3、B超:方便、易行、价低,但灵敏度不如CT和MRI,不易发现较小的肿瘤。可用作初步筛查、定位的手段。

  4、131Ⅰ-间碘苄胺闪烁扫描:对肾上腺外、多发或恶性转移性嗜铬细胞瘤病灶的定位有较高诊断价值,同时具有定性和定位意义,但对低功能肿瘤的显像较差,而且受多种药物如利舍平、可卡因、三环类抗抑郁药等影响,而致假阴性,故应在检查前1周停用,并在检查前服用复方碘液保护甲状腺。

  近年,开始应用11碳羟基麻黄碱、奥曲肽显像或PET诊断本病。

  5、肾上腺静脉插管采血测血浆CA 当临床表现和生化检查均支持本病、但上述无创伤性显像检查又未能定位肿瘤时,可考虑采用。操作过程中有可能诱发高血压危象,应准备酚妥拉明以备急用。

诊断方法

1.定性诊断

嗜铬细胞瘤的诊断是建立在血、尿儿茶酚胺及其代谢物测定的基础上的。

2.定位诊断

利用各种影像学检查可协助对嗜铬细胞瘤进行定位,来指导治疗。

(1)B超 可以检出肾上腺内直径>2厘米的肿瘤,一般瘤体有包膜,边缘回声增强,内部为低回声均质。如肿瘤较大,生长快时内部有出血、坏死或囊性变,超声表现为无回声区。但B超对于过小或是肾上腺外一些特殊部位的肿瘤(如颈部、胸腔内等)不能显示。

(2)CT 是目前首选的定位检查手段。嗜铬细胞瘤在CT上多表现为类圆形肿块,密度不均匀,出血区或钙化灶呈高密度,增强扫描时肿瘤实质明显强化,而坏死区无或略有强化。CT诊断肾上腺内嗜铬细胞瘤的敏感性达到93%~100%,但特异性不高,只有70%。对于肾上腺外嗜铬细胞瘤,如腹腔内小而分散的肿瘤不易与肠腔的断面相区分,因此有可能漏诊。

(3)MRI 在MRI的T1加权像实性肿瘤强度类似肝实质,T2加权像信号较高。坏死、囊变区在T1像呈低信号,在T2像为高信号。MRI诊断嗜铬细胞瘤的敏感性及特异性与CT相似,其优势在于是三维成像,有利于观察肿瘤与周围器官与血管的解剖关系。

(4)同位素131Ⅰ标记MIBG扫描 MIBG(间碘苄胍)是去甲肾上腺素的生理类似物,可被摄取和贮存于嗜铬细胞瘤内,经同位素131Ⅰ标记后,能显示瘤体。

鉴别诊断

许多疾病都有类似嗜铬细胞瘤表现,因此鉴别诊断很重要。

1.原发性高血压

某些原发性高血压患者呈现高交感神经兴奋性,表现为心悸、多汗、焦虑、心输出量增加。但患者的尿儿茶酚胺是正常的。尤其是在焦虑发作时留尿测定儿茶酚胺更有助于除外嗜铬细胞瘤。

2.颅内疾病

在颅内疾病合并有高颅压时,可以出现类似嗜铬细胞瘤的剧烈头痛等症状。患者通常会有其他神经系统损害的体征来支持原发病。但也应警惕嗜铬细胞瘤并发脑出血等情况。

3.神经精神障碍

在焦虑发作尤其是伴有过度通气时易与嗜铬细胞瘤发作相混淆。但是焦虑发作时通常血压是正常的。如果血压亦有上升,则有必要测定血、尿儿茶酚胺以助鉴别。

4.癫痫

癫痫发作时也类似嗜铬细胞瘤,有时血儿茶酚胺也可升高,但尿儿茶酚胺是正常的。癫痫发作前有先兆,脑电图异常,抗癫痫治疗有效等以助除外嗜铬细胞瘤。

5.绝经综合征

处于绝经过渡期的妇女会出现多种雌激素缺乏导致的症状,如潮热、出汗、急躁、情绪波动难以控制等,类似于嗜铬细胞瘤发作,通过了解月经史,进行性激素及儿茶酚胺的测定可有助于鉴别。

6.其他

甲亢时呈现高代谢症状,伴有高血压。但是舒张压正常,且儿茶酚胺不会增高。冠心病心绞痛发作、急性心肌梗死等均需与嗜铬细胞瘤鉴别。一般根据发作时心电图改变、改善心肌供血治疗有效等可以与之区别。最关键的还是尿儿茶酚胺的测定。

并发症状

       注意有无并发症的发生,如心力衰竭、心律失常、高血压脑病、肺部感染及其他异常变化。如有嗜铬细胞瘤危象发生,应立即抽血测定尿素氮、肌酐、血糖等,避免叩压肿瘤部位。

       可合并以下并发症:

       1、心血管并发症 儿茶酚胺性心脏病、心律失常、休克。

       2、脑血管并发症 脑卒中、暂时性脑缺血发作、高血压脑病、精神失常。 

       3、其他 如糖尿病、缺血性小肠结肠炎、胆石症等。

治疗方式

嗜铬细胞瘤一旦确诊并定位,应及时切除肿瘤,否则有肿瘤突然分泌大量儿茶酚胺、引起高血压危象的潜在危险。近年来,随着生化试验及显像技术的发展,嗜铬细胞瘤的定性和定位诊断技术大为提高,因此术手术成功率得以提高。术前应采用α受体阻滞药使血压下降,减轻心脏负荷,并使原来缩减的血管容量扩大,以保证手术的成功。

1.药物治疗

(1)嗜铬细胞瘤的定性及定位的 诊断一旦明确,应立即用药物控制,以防出现高血压急症。主要用药为长效α受体阻滞药,包括酚苄明和哌唑嗪。

(2)合并高血压急症时 可静脉给以酚妥拉明。如疗效不好可静脉输注硝普钠。

2.术前准备和药物治疗

(1)α-肾上腺素能受体阻断剂 ①酚妥拉明:用于高血压的鉴别诊断,治疗高血压危险发作或手术中控制血压。②酚苄明:常用于术前准备,术前口服,直至血压接近正常,服药过程中应严密监测卧、立位血压和心率的变化。③哌唑嗪、特拉唑嗪、多沙唑嗪:均为选择性突触后α1肾上腺素能受体阻滞剂。应用时易致严重的直立性低血压,故应在睡前服用,尽量卧床。④乌拉地尔(压宁定):可阻断α1、α2受体,并可激活中枢5-羟色胺1A受体,降低延髓心血管调节中枢的交感反馈作用,故在降压的同时不增加心率。

(2)β肾上腺素能受体阻断剂 因使用α受体阻断剂后,β受体兴奋性增强而致心动过速、心肌收缩力增强、心肌耗氧量增加,应使用β受体阻滞剂改善症状。

(3)钙通道阻断剂(CCB) CCB可用于术前联合治疗,尤适用于伴冠心病或儿茶酚胺心肌病患者,或与α、β受体阻断剂合用进行长期降压治疗。常用硝苯地平。

(4)血管紧张素转换酶抑制剂(ACEI) 如卡托普利。

(5)血管扩张剂 硝普钠是强有力的血管扩张剂,主要用于嗜铬细胞瘤患者的高血压危象发作或手术中血压持续升高者。严密监测血压,调整药物剂量,以防血压骤然下降,并监测氰化物的血药浓度。

(6)儿茶酚胺合成抑制剂 α-甲基对位酪氨酸为酪氨酸羟化酶的竞争性抑制剂,阻断儿茶酚胺合成。根据血压及血、尿儿茶酚胺水平调整剂量,可逐渐增加。常见的副作用有嗜睡、抑郁、消化道症状、锥体外系症状如帕金森病等。减量或停药后上述症状可很快消失。

3.131Ⅰ-MIBG治疗

主要用于恶性及手术不能切除的嗜铬细胞瘤。

4.嗜铬细胞瘤所致高血压危象的治疗

应首先抬高床头,立即静脉注射酚妥拉明。密切观察血压,当血压降至160/100mmHg左右时,停止注射。继之缓慢滴注。

5.术后处理

在肿瘤切除后,患者血压很快下降。如术后仍存在持续性高血压,可能是肿瘤未切除干净或已伴有原发性高血压或肾性高血压。儿茶酚胺在手术后7~10天即可恢复正常水平。因此在术后1周时要测定儿茶酚胺或其代谢物以明确肿瘤是否完全切除。

对于不能手术的患者或者恶性肿瘤扩散的患者,可以长期药物治疗。多数的肿瘤生长很慢。应用肾上腺素能受体阻滞剂以及a甲基酪氨酸长期治疗可有效抑制儿茶酚胺合成。

6.恶性嗜铬细胞瘤的治疗

恶性嗜铬细胞瘤可以在腹膜后复发或是转移到骨、肺、肝脏等处。复发有可能在第1次术后的数年或数十年后才发生,需要长期随诊观察。放疗虽效果不是很好,但对控制骨转移有好处。可以联合应用环磷酰胺、长春新碱、达卡巴嗪(甲氮咪胺)化疗。

7.家族性嗜铬细胞瘤的处理

家族性嗜铬细胞瘤通常是多发的或是累及双侧肾上腺,而且复发率高。可供选择的方案有对小的、无功能的肿瘤进行随诊观察、肿瘤侧肾上腺切除、预防性双侧肾上腺切除等。在双侧肾上腺全切术后应注意长期皮质激素替代治疗。

8.妊娠期嗜铬细胞瘤的处理

妊娠期嗜铬细胞瘤较难处理。在未经任何准备的情况下经阴道自行分娩往往会给产妇及婴儿带来很大危害。肿瘤的定位适宜行MRI检查。一旦诊断明确,就应服用α受体阻滞剂控制症状。如果是在妊娠的早期及中期,如术前准备充分后应立即手术。术后不需要终止妊娠,但手术有可能增加流产的概率。如果诊断时已处于妊娠晚期,在胎儿足月时可以随嗜铬细胞瘤手术而行剖宫产。如胎儿尚未成熟,应继续服用药物,并进行严密的监护,直到适宜手术。

预后治疗

1.如能早期诊断则预后可明显改善。

2.术前准备充分的情况之下手术的死亡率明显降低。

3.因为家族性嗜铬细胞瘤的复发率高,建议每年复查1次。若测定值异常,再进一步行影像学检查。恶性嗜铬细胞瘤的5年生存率低于50%。

4.完全切除肿瘤而高血压治愈的患者约70%,其余者仍有持续性高血压或高血压复发,可能是原发性高血压或肾性高血压,通常降压药物可以良好控制血压。

相关百科
返回顶部
产品求购 求购