细胞核

细胞核

中文名 细胞核
简介 细胞核是细胞内遗传信息的储存、复制和转录的主要场所
组成部分 核膜、核骨架、核仁等
目录导航

基本简介

细胞核细胞核细胞核是细胞内遗传信息的储存、复制和转录的主要场所。它是英国科学家布朗于1831年发现并命名的。大多呈球形或椭圆形。通常一个,也有两个或多个的。借双层多孔的核膜与细胞质分隔。核内含有核液、染色质(或染色体)和核仁。

细胞核是存在于真核细胞中的封闭式膜状胞器,内部含有细胞中大多数的遗传物质,也就是DNA。这些DNA与多种蛋白质,如组织蛋白复合形成染色质。而染色质在细胞分裂时,会浓缩形成染色体,其中所含的所有基因合称为核基因。细胞核的作用,是维持基因的完整性,并借由调节基因表现来影响细胞活动。

细胞核的主要构造为核膜,是一种将细胞核完全包覆的双层膜,可使膜内物质与细胞质、以及具有细胞骨架功能的网状结构核纤层分隔开来。由于多数分子无法直接穿透核膜,因此需要核孔作为物质的进出通道。这些孔洞可让小分子与离子自由通透;而如蛋白质般较大的分子,则需要载体蛋白的帮助才能通过。核运输是细胞中最重要的功能;基因表现与染色体的保存,皆有赖于核孔上所进行的输送作用。

细胞核内不含有任何其他膜状的结构,但也并非完全均匀,其中存在许多由特殊蛋白质、RNA以及DNA所复合而成的次核体。而其中受理解最透彻的是核仁,此结构主要参与核内RNA 的合成。RNA是核糖体的主要成分。核糖体在核仁中产出之后,会进入细胞质进行mRNA的转译。

历史沿革

细胞核是最早发现的细胞器,由弗朗兹·鲍尔(Franz Andreas Bauer)在1802年对其进行最早的描述。到了1831年,苏格兰植物学家罗伯特·布朗又在伦敦林奈学会的演讲中,对细胞核做了更为详细的叙述。布朗以显微镜观察兰花时,发现花朵外层细胞有一些不透光的区域,并称其为“areola”或“nucleus”。不过他并未提出这些构造可能的功用。马蒂亚斯·许莱登在1838年提出一项观点,认为细胞核能够生成细胞,并称这些细胞核为“细胞形成核”(Cytoblast)。他也表示自己发现了组成于“细胞形成核”周围的新细胞。不过弗朗兹·迈恩对此观念强烈反对,他认为细胞是经由分裂而增殖,并认为许多细胞并没有细胞核。由细胞形成核作用重新生成细胞的观念,与罗伯特·雷马克及鲁道夫·菲尔绍的观点冲突,他们认为细胞是单独由细胞所生成。至此,细胞核的机能仍未明了。

在1876到1878年间,奥斯卡·赫特维希的数份有关海胆卵细胞受精作用的研究显示,精子的细胞核会进到卵子的内部,并与卵子细胞核融合。首度阐释了生物个体由单一有核细胞发育而成的可能性。这与恩斯特·海克尔的理论不同,海克尔认为物种会在胚胎发育时期重演其种系发生历程,其中包括从原始且缺乏结构的黏液状“无核裂卵”(Monerula),一直到有核细胞产生之间的过程。因此精细胞核在受精作用中的必要性受到了漫长的争论。赫特维希后来又在其他动物的细胞,包括两栖类与软体动物中确认了他的观察结果。而爱德华·施特拉斯布格也从植物得到相同结论。这些结果显示了细胞核在遗传上的重要性。1873年,奥古斯特·魏斯曼提出了一项观点,认为母系与父系生殖细胞在遗传上具有相等的影响力。到了20世纪初,有丝分裂得到了观察,而孟德尔定律也重新见世,这时候细胞核在携带遗传讯息上的重要性已逐渐明朗。

定义

细胞核是细胞的控制中心,在细胞的代谢、生长、分化中起着重要作用,是遗传物质的主要存在部位。尽管细胞核的形状有多种多样,但是它的基本结构却大致相同,主要由核被膜、染色质、核骨架、核仁及核体组成。

介绍

分布

绝大多数真核生物细胞中;

原核细胞拟核原核细胞拟核(1)原核细胞中没有真正的细胞核(称为拟核);(2)有的真核细胞中也没有细胞核,如哺乳动物的成熟的红细胞,高等植物成熟的筛管细胞等极少数的细胞。

形态

细胞核细胞核大多呈球形或卵圆形,但也随物种和细胞类型不同而有很大变化。

大小

核的大小依物种不同而有所变化,例如:高等动物细胞核直径一般在5~10微米,高等植物细胞核直径一般在5~20微米,低等植物细胞核直径一般在1~4微米。

数目

一般一个:大多数生物体细胞中都是一个;

成熟红细胞无核无细胞器成熟红细胞无核无细胞器有的没有:哺乳动物成熟的红细胞,被子植物筛管细胞;有的多个:植物个体发育过程中的多数胚乳核,草履虫等原生动物;

人的骨胳肌中的细胞核可达数百个。

组成物质

前言

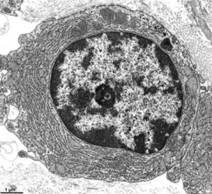
细胞核立体分层图细胞核立体分层图显示各部分结构显示各部分结构在HE染色切片上,细胞核以其强嗜碱性而成为细胞内最醒目的结构。由于它含有DNA--遗传信息,因此,借DNA复制与选择性转录,细胞核成为细胞增殖、分化、代谢等活动中关键环节之一。人体绝大多数种类的细胞具有单个细胞核,少数无核、双核或多核。核的形态在细胞周期各阶段不同,间期核的形态在不同细胞亦相差甚远,但其结构都包括核被膜,染色质,核仁与核基质四部。

核被膜

核被膜使细胞核成为细胞中一个相对独立的体系,使核内形成一相对稳定的环境。同时,核被膜又是选择性渗透膜,起着控制核和细胞质之间的物质交换作用。

核被膜(nuclear envelope)包裹在核表面,由基本平行的内膜、外膜两层膜构成。两层膜的间隙宽10~15nm,称为核周隙(perinuclear cisterna),也称核周腔。核被膜上有核孔(nuclear pore)穿通,占膜面积的8%以上。外核膜表面有核糖体附着,并与粗面内质网相续;核周隙亦与内质网腔相通,因此,核被膜也参与蛋白质合成。内核膜也参与蛋白质合成。内核膜的核质面有厚20~80nm的核纤层(fibrous lamina)是一层由细丝交织形成的致密网状结构。成分为中间纤维蛋白,称为核纤层蛋白(lamin)。核纤层与细胞质骨架、核骨架连成一个整体,一般认为核纤层为核被膜和染色质提供了结构支架。核纤层不仅对核膜有支持、稳定作用,也是染色质纤维西端的附着部位。

核孔是直径80~120nm 的圆形孔,核孔复合体稍大些,直径为120~150nm,内、外核膜在孔缘相连续,孔内有环(annulus)与中心颗粒组成核孔复合体。环有16个球形亚单位,孔内、外线各有8个。从位于核孔中心的中心颗粒(又称孔栓)放射状发出细丝与16个亚单位相连。核孔所在处无核纤层。一般认为,水离子和核苷等小分子物质可直接通透核被膜;而RNA与蛋白质等大分子则经核孔出入核,但其出入方式尚不明了。显然,核功能活跃的细胞核孔数量多。成熟的精子几乎无核孔,而卵母细胞的核孔极其丰富,成为研究该结构的主要材料。

核被膜三个区域各自概要

— 核外膜:面向胞质,附有核糖体颗粒,与内质网相连。

— 核内膜:面向核质,表面上无核糖颗粒,膜上有特异蛋白,为核纤层提供结合位点。

—核孔(nuclear pores):在内外膜的融合处形成环状开口,又称核孔复合体,直径为50~100nm,一般有几千个,核孔构造复杂,含100种以上蛋白质,并与核纤层紧密结合成为核孔复合体。是选择性双向通道。功能是选择性的大分子出入(主动运输),酶、组蛋白、mRNA、tRNA;存在电位差,对离子的出入有一定的调节控制作用。

染色质

是遗传物质DNA和组蛋白在细胞间期的形态表现。在HE染色的切片上,染色质有的部分着色浅淡,称为常染色质(euchromatin),是核中进行RNA转录的部位;有的部分呈强嗜碱性。称异染色质:(heterochromatin),是功能静止的部分,故根据核的染色状态可推测其功能活跃程度。电镜下,染色质由颗粒与细丝组成,在常染色所部分呈稀疏,在异染色质则极为浓密。现已证明,染色质的基本结构为串珠状的染色质丝。染色质的结构单体为核小体,直径约10nm,相邻以1.5~2.5nm的细丝相连,核心由4组组蛋白( H2A,H2B,H3,H4 )构成,DNA缠绕在核心的外周,核小体之间为连接DNA,上有H1,1个核小体上共有200个碱基对,构成染色质丝的一个单位。是由DNA双股螺族链规则重复地盘绕,形成大量核小体(nucleosome)。核小体为直径约10nm的扁圆球形,核心由5种蛋白(H1、 H2A、H2B、H3、H4)各二分子组成;DNA盘绕核心1.75周,含140个碱基对。DNA链于相邻核小体间走行的部分称连接段,含10~70个碱基对,并有组蛋白H1附着。这种直径约10nm的染色质丝在其进行RNA转录的部位是舒展状态,即表现为常染色质;而未执行动能的部位则螺旋化,形成直径约30nm的染色质纤维,即异染色质。人体细胞核中含46条染色质丝,其DNA链总长约1m,只有以螺旋化状态才能被容纳于直径4~5μm的核中。

核仁

是形成核糖体前身的部位。大多数细胞可具有1~4个核仁。在合成蛋白旺盛的细胞,核仁多而大.光镜下,核仁呈圆形,并因含大量rRNA而显强嗜碱性。电镜下,核 仁由细丝成分、颗粒成分与核仁相随染色质三部分构成。细丝成分与颗粒成分是rRNA与相关蛋白质的不同表现形式,二者常混合组成粗约60~80nm核仁丝,后者蟠曲成网架。通常认为,颗粒成分是核糖体亚基的前身,由细丝成分逐渐转变而成,可通过核孔进入细胞质;核仁相随染色质是编码rRNA的DNA链的局部。人的第13、14、15、21和22对染色体的一端有圆形的随体(satellite),通过随体柄与染色体其它部分相连。随体柄即为合成rRNA的基因位点,又称核仁组织者区(nucleons organizer region),当其解螺旋进入功能状态时即成为核仁相随染色质,并进一步发展为核仁。理论上人体细胞可有10个核仁,但在其形成过程中往往互相融合,因此细胞中核仁一般少于4个。

核仁经常出现在间期细胞核中,它是匀质的球体,其形状、大小、数目依生物种类,细胞形成和生理状态而异。核仁的主要功能是进行核糖体RNA的合成和核糖体的形成。

核基质

细胞核细胞核是核中除染色质与核仁以外的成分,包括核液与核骨架两部分。核液含水、离子、在HE酶类等无机成分;核骨架(nuclear skeleton)是由多种蛋白质形成的三维纤维网架,并与核被膜核纤层相连,对核的结构具有支持作用。它的生化构成与其它可能的作用仍在研究中。

区别简述

染色体结构图染色体结构图染色质和染色体在化学成分上并没有什么不同,而只是分别处于不同的功能阶段的不同的构型。染色质是指间期细胞内由DNA、组蛋白和非组蛋白及少量RNA组成的线形复合结构,是间期细胞遗传物质存在形式。固定染色后,在光镜下能看到细胞核中经许多或粗或细的长丝交织成网的物质,从形态上可以分为常染色质(euchromatin)和异染色质(heterochromatin)。常染色质呈细丝状,是DNA长链分子展开的部分,非常纤细,染色较淡。异染色质呈较大的深染团块,常附在核膜内面,DNA长链分子紧缩盘绕的部分。染色体是指细胞在有丝分裂或减数分裂过程中,由染色质缩聚而成的棒状结构。

核骨架

核骨架是由纤维蛋白构成的网架结构,其蛋白成分按道理说细胞质骨架有的,核骨架也应该有。但在核骨架中只发现有角蛋白和肌蛋白质成分,在某些原生动物核骨架中还发现含有微管。同时在核骨架中还有少量RNA,它对于维持核骨架三维网络结构的完整性是必需的。在进化趋势看,核骨架组分是由多样化走向单一,特化。

功能

从其结构,我们可以得出细胞核的功能:控制细胞的遗传,生长和发育。德国藻类学哈姆林的伞藻嫁接试验验证了细胞核是遗传物质携带者。

细胞核是细胞的控制中心,一般说真核细胞失去细胞核后,很快就会死亡,但红细胞失去核后还能生活120天;植物筛管细胞,失去核后,能活好几年。

1.遗传物质储存和复制的场所。从细胞核的结构可以看出,细胞核中最重要的结构是染色质,染色质的组成成分是蛋白质分子和DNA分子,而DNA分子又是主要遗传物质。当遗传物质向后代传递时,必须在核中进行复制。所以,细胞核是遗传物储存和复制的场所。

2.细胞遗传性和细胞代谢活动的控制中心。遗传物质能经复制后传给子代,同时遗传物质还必须将其控制的生物性状特征表现出来,这些遗传物质绝大部分都存在于细胞核中。所以,细胞核又是细胞遗传性和细胞代谢活动的控制中心。例如,英国的克隆绵羊“多莉”就是将一只母羊卵细胞的细胞核除去,然后,在这个去核的卵细胞中,移植进另一个母羊乳腺细胞的细胞核,最后由这个卵细胞发育而成的。“多莉”的遗传性状与提供细胞核的母羊一样。这一实例充分说明了细胞核在控制细胞的遗传性和细胞代谢活动方面的重要作用。

因此,对细胞核功能的较为全面的阐述应该是:细胞核是遗传信息库,是细胞代谢和遗传的控制中心。

细胞间信息交流的方式多种多样,有间接传递信息的,如内分泌腺细胞将(激素)分泌出来后,由(血液)运送到全身各处作用与远处的靶细胞;有直接传递信息的,如(精子)和(卵细胞)的识别和结合则是通过两个细胞(细胞膜)直接接触,完成信息交流。

一般认为细胞识别的分子基础是受体。受体主要指细胞膜中的(糖蛋白)它对细胞外信号分子的结合有特异性。

作用的发现

细胞核与其他细胞器细胞核与其他细胞器1837年10月,施莱登把自己的实验结果和想法告诉了柏林大学解剖生理学家施旺,并特别指出细胞核在植物细胞发生中所起的重要作用。施旺立刻回想起自己曾在脊髓细胞中看见过的同样“器官”,并意识到如果能够成功地证明脊索细胞中的细胞核起着在植物细胞发生中所起的相同作用。那么,这个发现将是极其有意义的。

细胞核结构细胞核结构施旺从植物细胞与动物细胞结构上的相似性出发,在细胞水平上完成了二者的统一工作。1839年他发表了《关于动植物结构和生长相似性的显微研究》一文。全文内容有三部分:第一部分描述了他以动物为对象的研究情况和结论;第二部分提出了证据,把自己的实验结果与施莱登的研究结果作对比,表明动物和植物的基本结构单位都是细胞;第三部分总结了全部研究结果,提出了细胞学说,详细阐明了细胞的理论。施旺把施莱登证实了的植物的基本结构是细胞的观点推广到了动物界,并指出动植物发育的共同普遍规律。这在生物学史上具有划时代的意义。施旺指出:“细胞是有机体,整个动物和植物体乃是细胞的集合体,它们依照一定的规律排列在动植物体内。”

起源

细胞核起源依然是一个未解之谜。迄今为止的学说主要有:共营模型(syntrophic model)、自演化模型(autogenous model)、病毒性真核生物起源模型(viral eukaryogenesis model)、外膜假说(exomembrane hypothesis)、压缩和结构化假说(packing and structurization hypothesis),等等。

共营模型认为,与现代产甲烷古菌类似的某些古老的古菌,侵入并生活在类似于现代粘细菌的细菌体内,形成了早期的细胞核。古菌与真核生物在特定蛋白质(如组蛋白)基因的相似性被认为是支持以古菌为基础的细胞核起源理论的证据。

自演化模型认为原真核(proto-eukaryotic)细胞直接自细菌演化而来,并不需要通过内共生。证据来自一类专性好氧菌——浮霉菌(Planctomycete),它们具有清晰的胞内膜结构,其中,有一种称之为Gemmata obscuriglobus的出芽菌,其染色质被双层的核膜所包裹,类似于真核生物的核的结构,而斯氏小梨形菌(Pirellula staleyi)的核被单层的细胞质内膜ICM所包裹。但是,这一模型并未进一步解释核实如何形成的。

病毒性真核生物起源模型认为,病毒感染原核生物导致了膜结合的细胞核与其他真核生物特征的产生。证据是真核生物和病毒在大分子结构上存在一定相似性,譬如,线性DNA链、mRNA的加帽,以及与蛋白质的紧密结合(病毒的外套膜类似于组蛋白)。该假说的其中一种观点认为,吞噬作用形成了早期的细胞“捕食者”,并随之演化出细胞核。

外膜假说认为,细胞核是起源自演化出第二层外细胞膜的单个早期细胞,而包裹原来细胞的内膜则转变成了核膜,并逐渐演化出精巧的核孔结构,以便于将内部(如核糖体亚基)合成的物质送出核外。

压缩与结构化假说认为,细胞核源自原核细胞基因组的大型化(包括DNA的复制错误或多倍化、侧向基因转移方式、内共生融合等)。核的成型及有丝分裂的出现主要是为了满足将巨大的DNA分子准确地分配到子代中去的需求,因此,如何将长链DNA有效地压缩(借助组蛋白)成若干染色体以及如何将多个染色体同时分离(借助纺锤体)是核演化的关键。从原核生物到真核生物,基因组的DNA总量大约增加了3.5个数量级,这与现代真核生物的DNA压缩比(packing ratio)惊人地一致。包括核膜在内的细胞内膜系统就是为了实现对复杂生化系统进行秩序化管控,或者说,秩序化是通过细胞内部的模块化得以实现的。

平均来说,真核生物的C值比原核生物高约3.5个数量级平均来说,真核生物的C值比原核生物高约3.5个数量级

相关百科
返回顶部
产品求购 求购